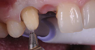
Le système d'air abrasion avec pulvérisation d'eau
Publié le 27 Mai 2024L’abrasion à air est une méthode de traitement de surface dentaire qui a transformé la dentisterie contemporaine. En effet, celle-ci permet de maximiser les performances d’adhésion grâce à un niveau de précision remarquable.
Le KaVo RONDOflex Plus 360, un instrument d’abrasion à air, s’inscrit dans cette logique en utilisant des particules d’oxyde d’aluminium pour préparer les surfaces dentaires, améliorant ainsi les valeurs d’adhérence des matériaux de restauration.
La synthèse suivante compile les résultats de trois études pour évaluer l’efficacité de cet outil dans divers contextes cliniques.

Le KaVo RONDOflex Plus 360 se distingue par ses capacités avancées, notamment la précision et l’efficacité de l’abrasion à air pour les traitements dentaires. Cet instrument permet une préparation de surface optimale, essentielle pour garantir une adhésion solide et durable des restaurations dentaires. Les études cliniques examinées ici démontrent ses applications variées et ses bénéfices pour les praticiens et les patients.
L’intérêt de l’aéro-abrasion humide en dentisterie adhésive
Contexte et méthodologie
L’étude réalisée par Dr. Thierry Caire explore l’utilisation du RONDOflex Plus 360 pour l’aéro-abrasion en dentisterie adhésive. Le praticien, expert en dentisterie esthétique, utilise l’aéro-abrasion humide pour préparer les surfaces dentaires avant le collage de restaurations indirectes.

Résultats et discussion
Les résultats montrent que le micro-sablage avec le RONDOflex Plus 360 améliore significativement la microrugosité de la surface, la mouillabilité, et la surface développée, augmentant ainsi les valeurs d’adhérence.
Les opérations de micro-sablage permettent de préparer rapidement et efficacement les surfaces dentaires, optimisant l’assemblage dent/ciment/couronne, notamment pour les restaurations composites et céramiques. De plus, cette technique réduit les contaminations et améliore l’ergonomie du processus de traitement.
Une préparation mini-invasive des cavités
Contexte et méthodologie
L’étude réalisée par le Dr. Michael N. Mandikos, spécialiste en prosthodontie, évalue le RONDOflex Plus 360 pour la préparation mini-invasive des cavités. Il utilise l’abrasion à air pour traiter la surface dentaire, en particulier dans des situations complexes nécessitant une adhésion renforcée.

Résultats et discussion
L’abrasion à air réalisée avec le RONDOflex Plus 360 augmente la rugosité de surface et améliore l’adhésion des systèmes auto-mordançants à la dentine. La méthode est efficace pour prétraiter les dents et les surfaces internes des restaurations, réduisant ainsi les contaminations et les désagréments liés à la dispersion des particules d’alumine.
Le RONDOflex Plus 360, avec son jet d’eau intégré, empêche la dissémination des particules, rendant l’utilisation plus propre et plus sûre pour les patients et les cliniciens.
Utilisation de l’aéro-abrasion pour les couronnes CAD/CAM
Contexte et méthodologie
L’étude clinique du Dr. Yoshinori Uchida se concentre sur l’utilisation de l’aéro-abrasion pour les couronnes CAD/CAM. L’étude explore comment le sablage interne des couronnes avant leur fixation améliore l’adhésion et la durabilité des restaurations.

Résultats et discussion
Les couronnes CAD/CAM, bien que pré-sablées en laboratoire, peuvent être contaminées par divers éléments. L’utilisation du RONDOflex Plus 360 pour un sablage au fauteuil permet d’éliminer ces contaminants, augmentant la surface de liaison et la durabilité de la restauration. Cette technique assure une meilleure préparation des surfaces internes, optimisant ainsi l’adhésion avec le ciment dentaire et réduisant les risques de défaillance à long terme.
Comparaison et analyse
Efficacité et précision
Les trois études cliniques démontrent que le KaVo RONDOflex Plus 360 offre une précision et une efficacité supérieures dans la préparation des surfaces dentaires pour divers types de restaurations. Que ce soit pour les couronnes CAD/CAM, les couronnes en zircone ou les restaurations sans métal, cet instrument permet une amélioration significative de l’adhésion des matériaux dentaires, garantissant des résultats durables et fiables.
Confort et satisfaction des patients
Un autre point commun entre ces études est l’amélioration du confort et de la satisfaction des patients. La réduction du temps de traitement et la diminution des ajustements postérieurs sont des facteurs clés qui contribuent à une meilleure expérience globale pour les patients. L’utilisation de l’abrasion à air avec le RONDOflex Plus 360 permet des procédures moins invasives et plus confortables, renforçant la confiance des patients dans les traitements dentaires modernes.
Applications cliniques
Les études montrent également que le KaVo RONDOflex Plus 360 est adaptable à une variété de contextes cliniques. Qu’il s’agisse de préparer des couronnes CAD/CAM, de traiter des couronnes en zircone ou de réaliser des restaurations sans métal, cet instrument s’avère versatile et efficace. Les praticiens peuvent l’utiliser pour diverses procédures, garantissant des résultats optimaux et une efficacité accrue dans leur pratique quotidienne.

Conclusion
La synthèse des études cliniques sur le KaVo RONDOflex Plus 360 met en lumière les avantages significatifs de cet outil dans la pratique dentaire moderne. En offrant une préparation de surface précise et efficace, il améliore l’adhésion des matériaux dentaires, réduit le temps de traitement et augmente le confort des patients. Ces études confirment que le KaVo RONDOflex Plus 360 est un instrument indispensable pour les dentistes cherchant à offrir des traitements de haute qualité et à garantir la satisfaction de leurs patients.
Cet article vous est proposé par KaVo Dental Excellence.




0 commentaire(s)