Orthodontie
Intégrer l’alignement dans nos plans de traitement
Publié le 21/12/2020Pourquoi repositionner les dents ?
Repositionner les dents avant de les restaurer permet de répondre à un triple objectif de la dentisterie moderne :
– Avoir recours à des techniques de restaurations minimalement invasives (respect du gradient thérapeutique),
– Travailler dans un contexte gingival plus favorable,
– Travailler dans un contexte fonctionnel plus favorable, et ainsi augmenter la longévité des dents et des restaurations.
Dans ce cas clinique c’est le système Invisalign Go (spécifiquement dédié aux omnipraticiens) qui a été utilisé, il permet de déplacer les dents jusqu’à la deuxième prémolaire et de corriger des problèmes simples ou modérés d’alignement.
Cas clinique
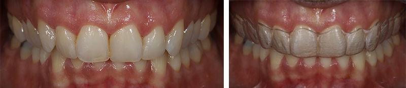
Ce patient avait exprimé lors de son premier rendez-vous le complexe qui l’a incité à venir consulter : il n’ose pas sourire car ses dents se chevauchent, sont en retrait, et il trouve qu’il y a un manque d’uniformité.
Dès cette première séance, un bilan photographique complet est réalisé, ainsi que des empreintes numériques à l’aide de la caméra iTero.

Fig. 01 : le bilan photographique permet l’étude esthétique du cas.

Fig. 02 : les empreintes numériques permettent d’enregistrer des modèles d’études (stockées sur
l’interface myitero.com).
Il est expliqué au patient qu’une phase d’alignement préalable est indispensable pour répondre à sa demande, puisqu’elle permettra d’atteindre le résultat esthétique d’une part, mais aussi d’améliorer la santé des gencives par un accès facilité à l’ensemble des surfaces dentaires lors du brossage.
Le patient reçoit à la fin de la séance les explications sur la thérapeutique proposée et sa chronologie :
1• L’alignement à l’aide de gouttières transparentes en haut et en bas (portées 22h/24, c’est à dire en permanence sauf pendant les repas et sauf pour se brosser les dents).
2• L’éclaircissement des dents.
3• La restauration des dents fracturées à l’aide de composites stratifiés.
Les empreintes sont envoyées directement par l’iTero sur la plateforme en ligne d’Invisalign (appelée IDS : Invisalign Doctor Site), permettant de faire une prescription détaillée des objectifs du traitement, afin d’établir un plan de traitement numérique des étapes de l’alignement : c’est le ClinCheck.

Fig. 03 : le plan de traitement ClinCheck en trois étapes :
• Situation de départ.
• Premier rendez-vous : en rouge, les taquets à positionner sur les dents ; en vert : les points d’appuis intégrés à la gouttière ; les losanges jaunes : correspondent aux strippings (réductions inter-proximales) à réaliser au 1er RDV, les losanges blancs : correspondent aux stripping à réaliser plus tard dans le traitement.
• Situation finale en fin de traitement (les losanges gris correspondent aux strippings déjà effectués).
Ici, l’alignement est prévu en 15 aligneurs, à raison de 2 semaines de port par aligneur, on peut compter 30 semaines de traitement, soit environ 7 mois. Le ClinCheck nous permet de visualiser la position finale des dents, l’occlusion finale, et également d’anticiper sur le volume des futures restaurations à réaliser sur les dents 12, 11, 21 et 22.
À la fin de la phase active de traitement, une contention est systématiquement mise en place pour maintenir les dents dans leur nouvelle position, ici il est choisi de faire un fil collé sur les faces palatines en haut et en bas.
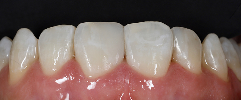
L’éclaircissement des dents est réalisé et les restaurations en composite peuvent alors être envisagées pour harmoniser la forme des dents.

Fig. 04 : pas-à-pas des restaurations en composite des incisives. En raison de la présence de la contention collée en palatin, une mise en place classique de la digue n’est pas possible, une technique dite « digue ouverte » est donc utilisée.

Fig. 05 : situation immédiate, avant réhydratation.
En complément, après la restauration des incisives supérieures, une contention par gouttière (Vivera, également commandée à partir d’une empreinte optique iTero via l’IDS) sera également remise au patient. Son port sera uniquement nocturne et permettra non seulement d’éviter une récidive de la supraclusion initiale, mais aussi de protéger les restaurations dans un contexte de bruxisme.

Fig. 06 : empreinte pour la gouttière de contention maxillaire (les fils collés en palatin et lingual sont visibles sur les vues occlusales).

Fig. 07 : situation finale après réhydratation et mise en place de la gouttière de contention Vivera.
Ainsi, l’alignement a permis de transformer un cas complexe d’un point de vue esthétique et occlusal, en un cas simple, se résumant en 3 phases récurrentes en dentisterie moderne ultraconservatrice : Aligner, Eclaircir, Restaurer (AER) !
L’ensemble du plan de traitement étant géré en toute sécurité entre les mains de l’omnipraticien, pour le plus grand confort du patient !

Fig. 08 : sourire initial (crispé) du patient / sourire final (relâché) du patient.
Cette formation vous est proposée par Invisalign. Pour en savoir plus, cliquez ici !



1 commentaire(s)
jeanpierregibson1963@gmail.com
Le 21 décembre 2020 à 16 h 16 min
Il n'est ici jamais question ni d'équilibre occlusal ( qui ne se fait pas par miracle) et encore moins d'équilibre postural . Que va t'il arriver à la posture 18 mois après le traitement ??? Merci si vous pouvez me répondre avec les preuves de toutes les étapes . JP Rousseau