Prothèse
Une alternative à l’implantologie : le bridge collé cantilever en céramique
Publié le 13/12/2017Aujourd’hui, l’implantologie est la solution de choix pour répondre à un grand nombre d’édentements. Les avancées techniques et matérielles ont permis de systématiser des protocoles de prises en charge et ce, malgré des défauts osseux majeurs. Cependant, il demeure des contre-indications à la pose d’implant dentaire (d’ordres local ou général), à cela s’ajoutent les phases de temporisation du traitement implantaire pour lesquelles nos patients sont demandeurs d’une solution fixée plutôt qu’un recours à une prothèse amovible.

Le bridge collé est une option thérapeutique soit dans l’optique d’une temporisation, soit en alternative à la pose d’implant. La fiabilité de la technique, initiée au début des années 70 par Rochette, a été éprouvée et validée pour les bridges à ailettes métalliques.

Avantages des bridges collés métalliques :
• Préparation a minima : économie tissulaire.
• Propriétés mécaniques des alliages métalliques notamment en flexion.
• Possibilité des réinterventions : recollage, dépose.
Inconvénients :
• Nécessité de surfaces de collage équivalentes entre les ailettes.
• Esthétique : dent grisée ou opacifiée.
• Maîtrise du protocole de conditionnement au laboratoire.
• Maîtrise du protocole de collage.
• Biocompatibilité.
Les premières techniques sans métal faisaient appel à des matériaux composites comme le système Targis-Vectris d’Ivoclar Vivadent. Ce système se compose d’une couche fibrée (le Vectris) et d’une couche composite en Ceromer (CEramic Optimized polyMER) (Le targis).
Puis en 1997, Matthias Kern est le premier à proposer une technique de bridge collé céramocéramique. Ce nouveau procédé se fait en modifiant l’architecture des préparations et en ne s’appuyant que sur une ailette : le principe du cantilever. Il existe aujourd’hui plusieurs publications validant la technique, que ce soit en céramique à base d’oxyde de zirconium ou de disilicate de lithium.
Avantages bridge :
• Esthétique.
• Biocompatibilité de la céramique.
• Attache gingivale.
• Transformation de l’ailette en facette en cas de temporisation implantaire.
Inconvénients :
• Protocole de préparation.
• Surface de connexion ailette inter.
• Difficultés de l’équilibration occlusale.
• Propriétés mécaniques différentes du métal : risque de fracture augmenté (flexion inférieure).
Choix matériaux : céramiques infiltrées ou disilicate de lithium ?
Les principales causes d’échecs lors des débuts étaient dues au décollement, soit du fait de l’architecture en 2 ailettes à laquelle les céramiques ne se prêtaient pas à cause du différentiel de mouvements des dents supports, soit du fait de la difficulté d’obtenir de hautes valeurs d’adhésion avec la zircone.
L’architecture à une ailette permet de s’affranchir du différentiel de mouvements, et l’emploi du disilicate de lithium permet d’augmenter les valeurs d’adhésions.
Céramiques infiltrées : type inceram alumina, zirconia :
Avantages de la zircone :
• Meilleure résistance en flexion
• Zone de connexion réduite : 6mm2
Inconvénients :
• Opacité
• Protocole de collage spécifique
• Procédé de réalisation par CFAO uniquement
Avantages du disilicate de lithium :
• Valeur d’adhésion
• Propriétés optiques
• Procédé de fabrication en technique pressée ou CFAO
Inconvénients :
• Risque de fracture
• Connexion minimale de 12mm2 entre ailette et inter.
CAS CLINIQUE
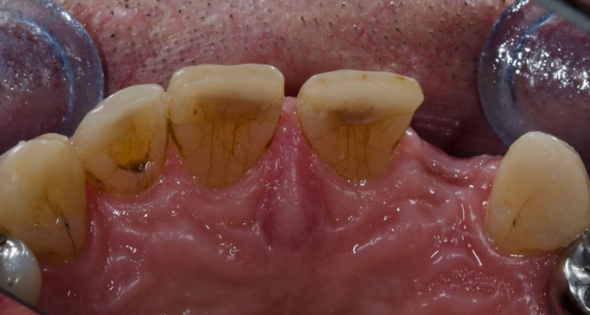
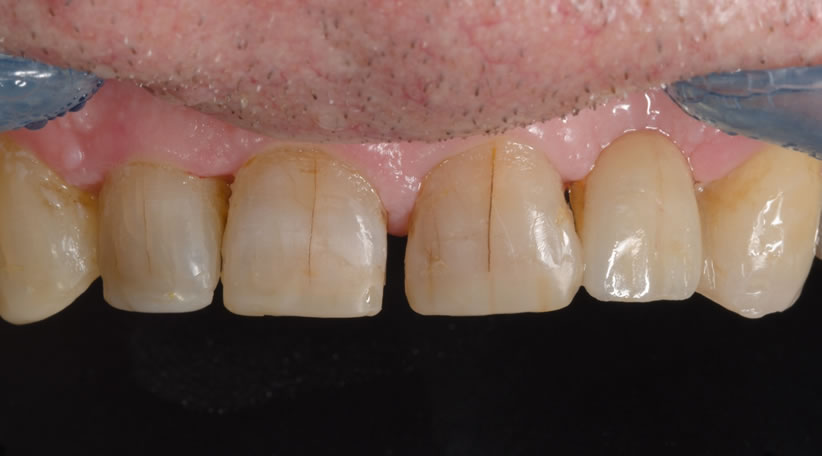
Un patient de 88 ans se présente au cabinet pour remplacer la 22 extraite 2 mois auparavant. La solution implantaire est évoquée, mais le patient ne souhaite pas envisagée cette technique.


Après analyse de l’espace à remplacer et de l’occlusion, une solution de bridge collé cantilever en disilicate de lithium (Emax Ivoclar vivadent) avec un appui canin est proposé au patient.

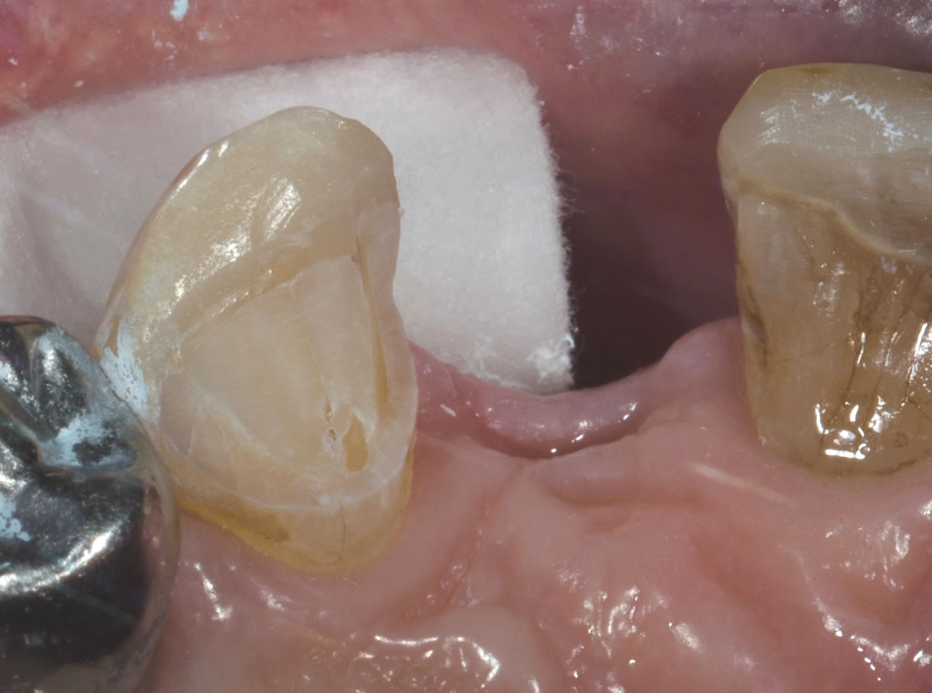
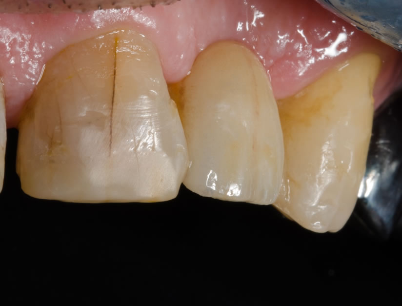
La préparation est essentiellement amélaire afin d’obtenir les meilleurs valeurs d’adhésion. Au niveau de la zone de connexion, elle est augmentée afin d’obtenir les 12mm2 recommandés. Dans cette partie de la préparation, nous pouvons nous retrouver avec une effraction dentinaire.
L’empreinte optique est réalisée (Carestream CS3500) et envoyée au laboratoire de prothèse (Digital Labs, La Roche-sur-Yon) par le portail sécurisé CS Connect.


La réalisation de l’armature se fera par procédé de Conception fabrication assistée par ordinateur.



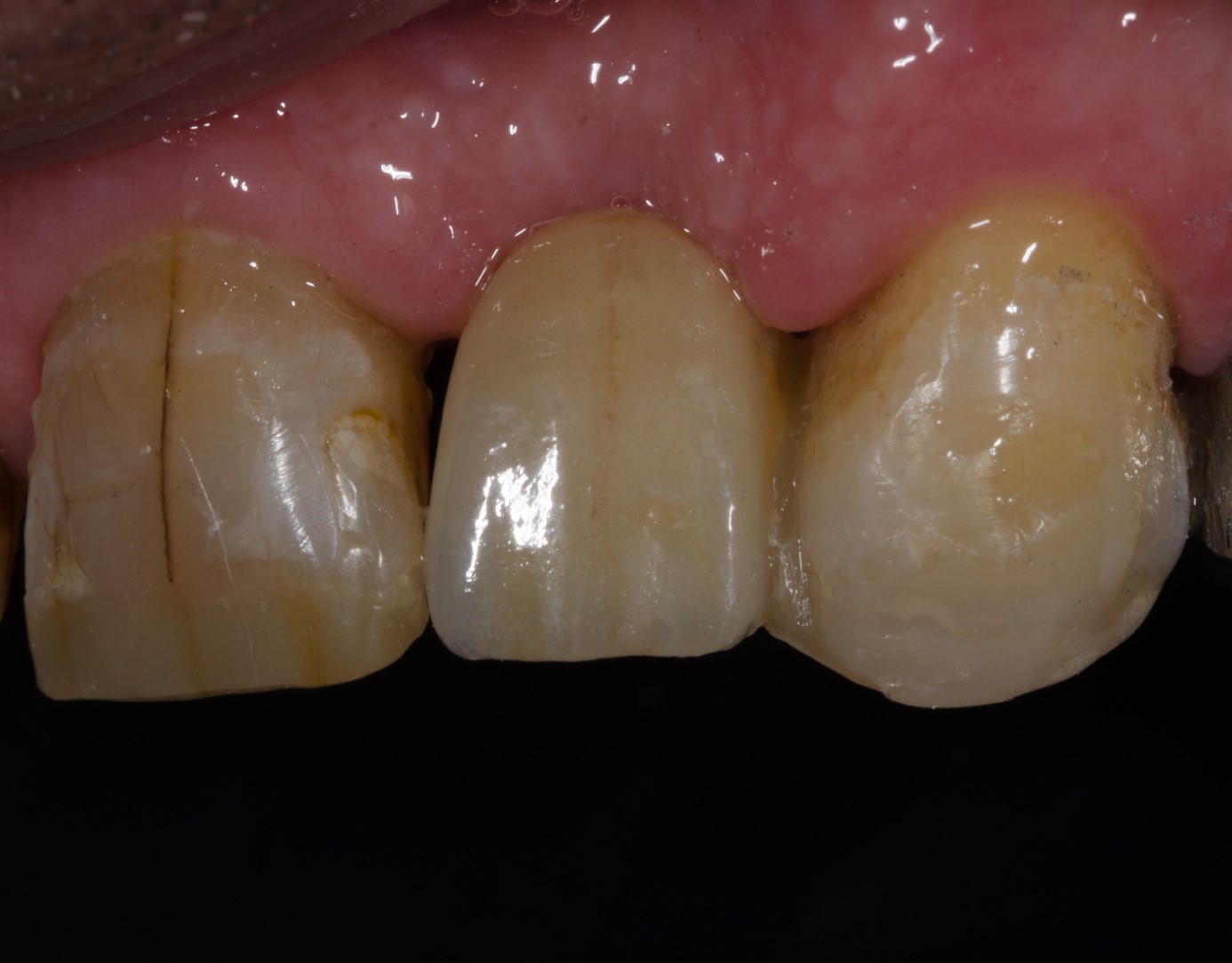
Le cosmétique céramique est ensuite réalisé par stratification en raison du niveau complexe de caractérisation des dents adjacentes.


Une clé de positionnement est aussi réalisée par CFAO en résine, elle permettra de guider l’insertion du bridge et d’éviter tout mouvement de rotation parasite.

Après conditionnement de la pièce prothétique (acide fluorhydrique et silanisation), l’assemblage se fait par technique de collage à l’aide d’un adhésif MR3 (Optibond FL de Kerr) et d’un composite fluide photopolymérisable (Universal Flo A3 de GC). Ceci afin d’obtenir d’excellentes valeurs d’adhésion, et ce, en contrôlant le processus de polymérisation du composite. La fluidité a pour avantage de permettre un meilleur ressenti du positionnement de la pièce prothétique avec la clé.





Après la polymérisation, un premier polissage est effectué sous digue, puis un second après dépose du champ opératoire.


Les conseils d’hygiène sont donnés au patient (passage de fil dentaire à expansion et brossettes interdentaires).
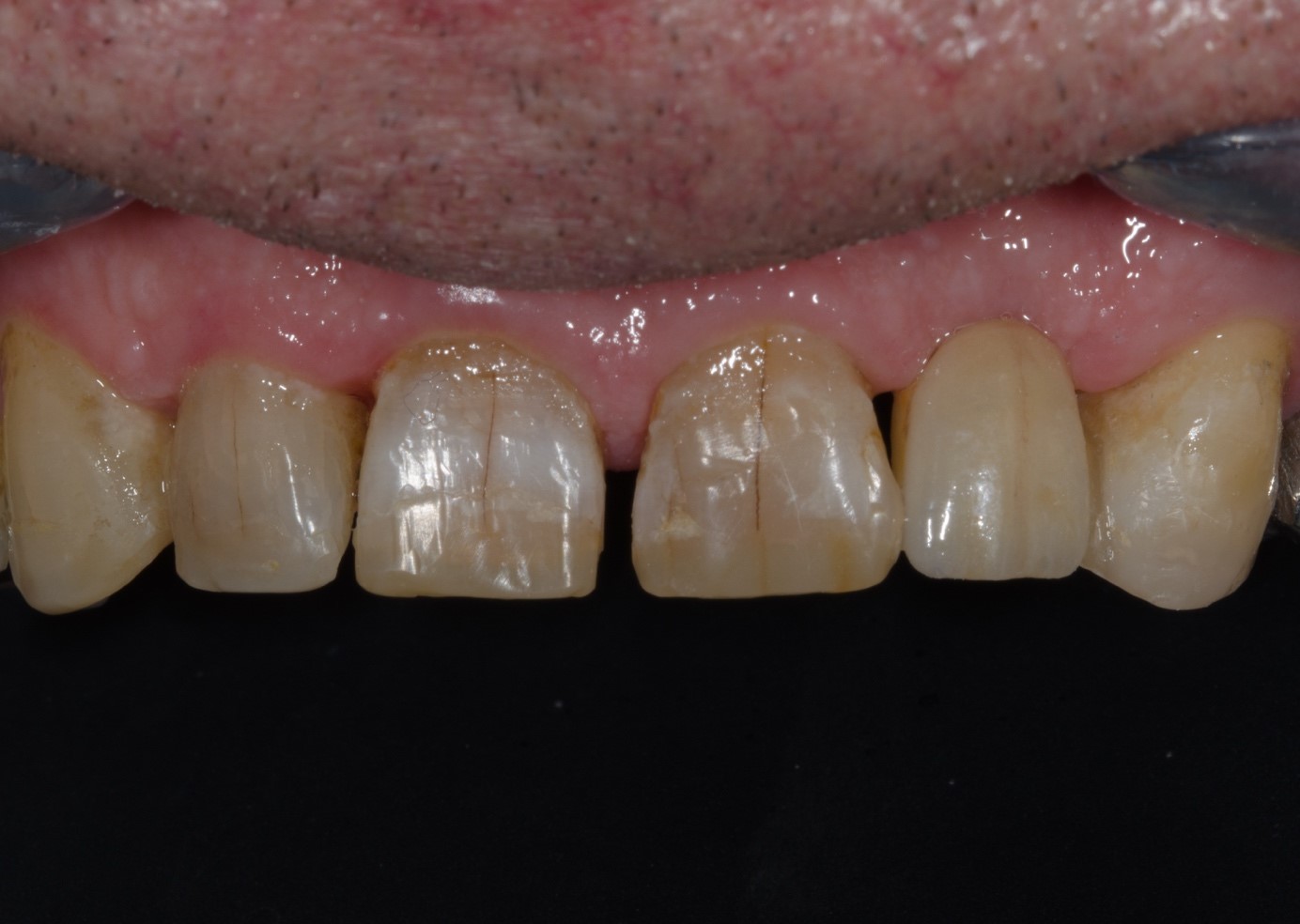
Le patient est revu 8 mois après le collage pour contrôle.


Le bridge collé cantilever en céramique est une réelle alternative à l’implantologie. Il permet le comblement d’un édentement avec une technique peu invasive et fiable.
Bibliographie
Attal J.P, Tirlet G. Le cantilever : une nouvelle géométrie pour les bridges collés Revue de la littérature. Réal Clin 2015. 26 (1) : 25-34
Ciers J.Y, Clunet-Coste B. Targis Vectris (Ivoclar). Syn Proth. 2002 Avr : 2 (2) : 109-113.
Kern M, Sasse M. Ten-year survival of anterior all-ceramic resin- bonded xed dental prostheses. J Adhes Dent. 2011;13:407-410.
Rochette AL. Attachment of a splint to enamel of lower anterior teeth. J.Prosthet.Dent. 1973 Oct;30(4):418-423.
Tirlet G, Attal J.P : Les bridges collés cantilever en vitroceramique renforcée au disilicate de lithium Raisons du choix et mise en œuvre clinique. Réal Clin 2015. 26 (1) : 35-46



0 commentaire(s)