Prothèse
Le bridge cantilever et les facettes
Publié le 04/05/2023Une explication clinique du bridge cantilever et des facettes réalisée par Esthet Practical, formations pratiques en dentisterie esthétique à Strasbourg. Dr Charles Toledano – Dr Olivier Etienne.
Cas clinique
Cette jeune patiente de 16 ans est adressée par son orthodontiste pour l’agénésie de la 22. La demande est « peut-il arrêter le traitement ? » et « quelle option thérapeutique pour remplacer l’incisive latérale ? ».
Fig. 01 : situation initiale.
L’analyse esthétique montre une légère asymétrie de largeur entre les espaces de 12 et de 22, or il est important dans le secteur antérieur de respecter la symétrie de proportion la plus parfaite entre deux incisives. Il est aussi à noter dès ce stade que la 12 présente un diastème mésial et une proportion réduite par rapport aux deux incisives centrales contre-indiquant la fermeture de celui-ci. Il est donc demandé à l’orthodontiste d’améliorer cette symétrie avant la dépose de l’appareil.
Fig. 02 : symétrie avant la dépose de l’appareil orthodontique.
Il est également demandé de préparer une gouttière de contention incluant une dent du commerce.
Fig. 03 : gouttière de contention.
Deux choix thérapeutiques se confrontent pour remplacer une incisive latérale : l’implant ou le bridge cantilever.
La problématique de l’implant est liée à la croissance osseuse et dans ce cas la patiente est trop jeune pour l’envisager. Cette croissance semble en outre continuer dans le temps ce qui risque de poser le problème d’une dent ankylosée en décalage par rapport aux dents adjacentes.
Le bridge cantilever, c’est-à-dire un bridge collé sur une ailette unique, permet de remplacer une incisive sans appui osseux et donc sans contrainte de croissance. Cette technique, proposée en alternative transitoire au départ, semble faire parfaitement ses preuves et devient même la solution de choix dans cette situation clinique comme l’ont montré les travaux de Mathias Kern et de Gil Tirlet et Jean-Pierre Attal. Le taux d’échec augmente d’ailleurs avec la multiplication des ailettes d’appui car les incisives centrales et les canines ne travaillent pas dans les même directions, ce qui aboutit souvent au décollement d’une des ailettes. Il peut être intéressant de demander à l’orthodontiste de ménager si possible un léger espace en regard de la future facette pour optimiser l’épaisseur de la céramique et préparer à minima la face palatine.
Il est proposé à la patiente et ses parents de remplacer la 22 par un bridge cantilever en disilicate de lithium et de transformer la 12 par une facette en céramique pour restaurer des proportions agréables et symétriques à ces deux dents. Cette symétrie passe généralement par le remodelage gingival dans le but d’aligner les collets et elle nécessite parfois un épaississement vestibulaire pour éviter une zone d’ombre inesthétique.

Fig. 04 : photographies post-traitement orthodontique.
Le jour de la dépose de l’appareil, une gingivectomie a été réalisée au bistouri électrique puis la dent du commerce a été rebasée dans la gouttière pour guider la cicatrisation. Le défaut vestibulo-palatin étant peu marqué, il n’a pas semblé nécessaire d’envisager une greffe de conjonctif enfoui dans ce cas.


Fig. 05 : réalisation de la gouttière de cicatrisation.
Une semaine de port de gouttière suffit à recréer par compression un feston gingival efficace.

Fig. 06 : photographies à J+7.
Deux préparations sont alors réalisées :
• Une préparation de facette vestibulaire sur la 12. Un mock-up direct en composite permet de guider une gingivoplastie de cette dent et une préparation à minima dans l’émail.
Fig. 07 : préparation de la facette vestibulaire sur la 12.
• Une préparation de facette palatine sur la 21. Cette préparation doit ménager une surface de collage optimale dans l’émail à distance du bord libre (pour ne pas masquer les caractérisations incisales) et en assurant une surface de jonction avec l’élément intermédiaire d’au moins 16mm2 idéalement. Cette surface est mesurée au laboratoire et en cas de doute, il peut être préférable de privilégier une armature en zircone plus résistante mécaniquement que le disilicate de lithium.
Fig. 08 : préparation de la facette palatine de la 21.
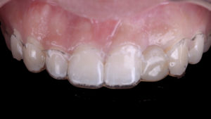
Les deux facettes (IPS e.max – Ivoclar) sont collées sous champ opératoire. Une clé de positionnement en résine permet d’assurer la stabilité du bridge cantilever pendant cette étape.
Fig. 09 : collage des 2 éléments.
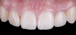
L’intégration esthétique est très intéressante à condition de remodeler la gencive en amont. L’hygiène sous l’inter de bridge est assurée simplement par le passage d’un fil dentaire entre 22 et 23 et l’incisive remplacée évolue avec sa dent support.


Fig. 10 : situation finale.
Cet article vous est proposé par Esthet Practical.
Prochaine session de formation « esthétique antérieure : composites injectés et stratifiés, bridges cantilever, éclaircissements et traitement des taches » les 22 et 23 juin 2023. Plus d’informations sur : www.est-p.fr.
Esthet Practical propose des formations à Strasbourg avec les Drs Charles Toledano et Olivier Etienne. Inscrivez-vous dès maintenant !
Co-fondateur d’Esthet Practical
Docteur en Chirurgie Dentaire
Attaché Hospitalo-Universitaire
Chargé d’Enseignement Universitaire
Coordinateur du DU d’Esthétique du Sourire
CES de Biomatériaux (Strasbourg), CES de Prothèse Fixée (Nancy), CES d‘Odontologie Conservatrice – Endodontie (Nancy)






0 commentaire(s)