Orthodontie
Traitement d’une dysharmonie dento-dentaire
Publié le 31/05/2023La demande esthétique de nos patients est de plus en plus importante, notamment à cause de l’image véhiculée par les réseaux sociaux. Certaines situations cliniques peuvent s’avérer plus complexes que celles habituellement présentées en formation ou sur des articles case reports. Il convient dans ce cadre au praticien d’avoir une transversalité de sa vision clinique afin d’allier l’ensemble de ses connaissance et de les mettre au service du patient.
Dans le cas que nous détaillons par la suite 4 disciplines vont être impliquées. Les trois premières seront purement dentaires, la quatrième, et non la moindre, sera paramédicale en faisant appel à des kinésithérapeutes maxillo-faciaux :
1 – L’orthodontie
2 – L’occlusodontologie
3 – L’odontologie conservatrice
4 – La rééducation maxillo-faciale
Présentation du cas clinique
Un patient d’une trentaine d’années se présente à notre consultation pour réaliser un alignement de ses dents. Il ne fume pas, ne révèle aucune contre-indication à l’orthodontie, ne prend pas de médicaments et ne présente pas de pathologie générale.




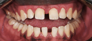
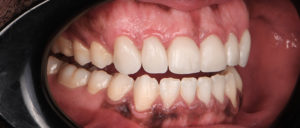
Fig. 01 : situation initiale.
À l’examen clinique exobuccal, nous pouvons voir que le patient présente une lèvre inférieure pro éminente et un étage inférieur légèrement augmenté. Les muscles péri-orbiculaires sont toniques au niveau du sillon labio-mentonnier. À l’examen endobuccal, le patient présente une proalvéolie combinée à une classe III molaire. Les dents antérieures sont placées en articulé inversé.
Nous notons également une Dysharmonie Dento-Dentaire (DDD). Des espaces interdentaires sont présents et les dents mandibulaires présentent une vestibulo version modérée.
La langue est tonique et s’interpose entre les deux arcades lors de la déglutition.
Les faces linguales des dents ne présentent pas ou peu de tarte et l’hygiène du patient est bonne.
Aucune facette d’usure occlusale n’est à noter chez ce patient.
À son entretien semi-directif, il n’est pas diagnostiqué de respiration buccale nocturne, mais il reconnaît avoir plus de facilité à respirer par la bouche.
Le plan de traitement
Le plan de traitement proposé au patient sera décomposé comme suit :
• Mise en place d’un traitement orthodontique par aligneurs afin de réduire les espaces interdentaires.
• Rééducation maxillo-faciale à réaliser pendant toute la durée du traitement d’alignement afin de faire progresser la position de la langue et de donner plus facilement au patient un repère de positionnement avec sa gouttière.
• Préparation de la phase de restauration afin d’harmoniser les volumes des dents à l’aide de restaurations adhésives collées de type facette.
• Stabilisation à l’aide de contention collée mandibulaire et de contention amovible maxillaire et mandibulaire. Maintien régulier d’un suivi par un kinésithérapeute maxillo-facial afin d’anticiper une récidive de la position linguale.
Nous mettons en avant ici la proposition de Clincheck afin de répartir les espaces de manière harmonieuses dans le plan de traitement prothétique envisagé.



Fig. 02 : proposition de traitement Clincheck afin de répartir les espaces de manière harmonieuses.
Un wax-up numérique est réalisé en amont de la procédure afin de connaître la taille des restaurations à venir et la forme approximative des futures dents. Il est réalisé avant la prise d’empreinte comme élément motivationnel pour le patient et comme outil pré-diagnostique pour le praticien. L’étape du wax-up est cruciale pour la réussite prothétique.
Le plan de traitement se déroule en 20 gouttières portées, à raison de 22h par jour et changées tous les 15 jours. Le praticien se doit de revoir son patient à minima toutes les 8 semaines afin de s’assurer du bon suivi du mouvement dentaire à l’intérieur des gouttières.
Un « décrochage » serait synonyme d’un retard de mouvement et donnerait lieu à un port plus long (3 semaines au lieu de 2) de la gouttière en cours. Le patient est observant tout au long de la thérapeutique tant au niveau du port de son traitement d’alignement qu’au niveau du suivi de sa rééducation linguale.

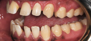
Fig. 03 : situation clinique à 10 mois de traitement.
Après dix mois de traitement, une équilibration occlusale est engagée afin de stabiliser les appuis prémolo-molaires, gages de stabilité postérieure. On note un léger espace entre les 31/41 qui donnera lieu à un port de 15 jours supplémentaires de la dernière gouttière.
Une empreinte maxillaire est prise ce même jour afin de vérifier et d’affiner le wax-up initial. La forme des dents est légèrement réajustée sur ce projet prothétique final et la situation est validée numériquement par le patient dans un premier temps puis en bouche à l’aide d’un mockup en résine.


Fig. 04 : réalisation de l’empreinte maxillaire.
Le mockup en résine, traduction clinique de notre prévisualisation numérique, nous sert de guide de préparation des facettes afin d’être le plus minimalement invasif.
Une difficulté à anticiper lors de nos préparations est la distance importante entre les dents à préparer. Ainsi pour donner un aspect naturel du profil d’émergence des dents et il faut éviter un aspect trop « carré » des facettes au niveau de la jonction dent/prothèse. Pour cela, une préparation sous gingivale est préconisée.
Cette préparation sous gingivale permet au prothésiste de placer de la céramique plus apicalement et maîtriser plus aisément le profil d’émergence prothétique.

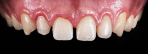
Fig. 05 : analyse du parodonte du patient.
Le patient présente un parodonte très épais ce qui nous permet de réaliser une préparation sous-gingivale tout en préservant une qualité d’isolation et de préservation gingivale optimale.

Fig. 06 : collage des facettes.

Fig. 07 : résultat post-collage.
Une équilibration secondaire à la pose des facettes est également réalisée, afin d’ajuster au mieux le guide antérieur du patient.




Fig. 08 : situation finale avec le creeping gingival autour des restaurations céramiques.
En fin de traitement prothétique et orthodontique, une contention filaire est mise en place à la mandibule et une contention amovible maxillaire et mandibulaire par gouttière est réalisée.

Fig. 09 : situation clinique avant et après traitement.
Remerciements aux prothésistes du laboratoire LE LABO et à Karine, mon assistante dentaire.



0 commentaire(s)