Imagerie
Dans la peau du radiologue – Cas n°4 : Des lésions apicales atypiques diffuses et asymptomatiques
Publié le 21/02/2018Ce mois-ci, Norbert Bellaiche vous présente son quatrième cas et vous propose de vous mettre dans la peau d’un radiologue en vous exerçant au diagnostic d’un Cone Beam.
Quel diagnostic aviez-vous décelé ? Découvrez toutes les corrections plus bas !
CLINIQUE : Patient de 38 ans, asymptomatique, d’origine africaine. Découverte fortuite sur un panoramique dentaire de lésions apicales diffuse, intéressant l’ensemble des dents. Tests de vitalité positifs sur toutes les dents.

CBCT :
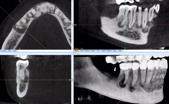
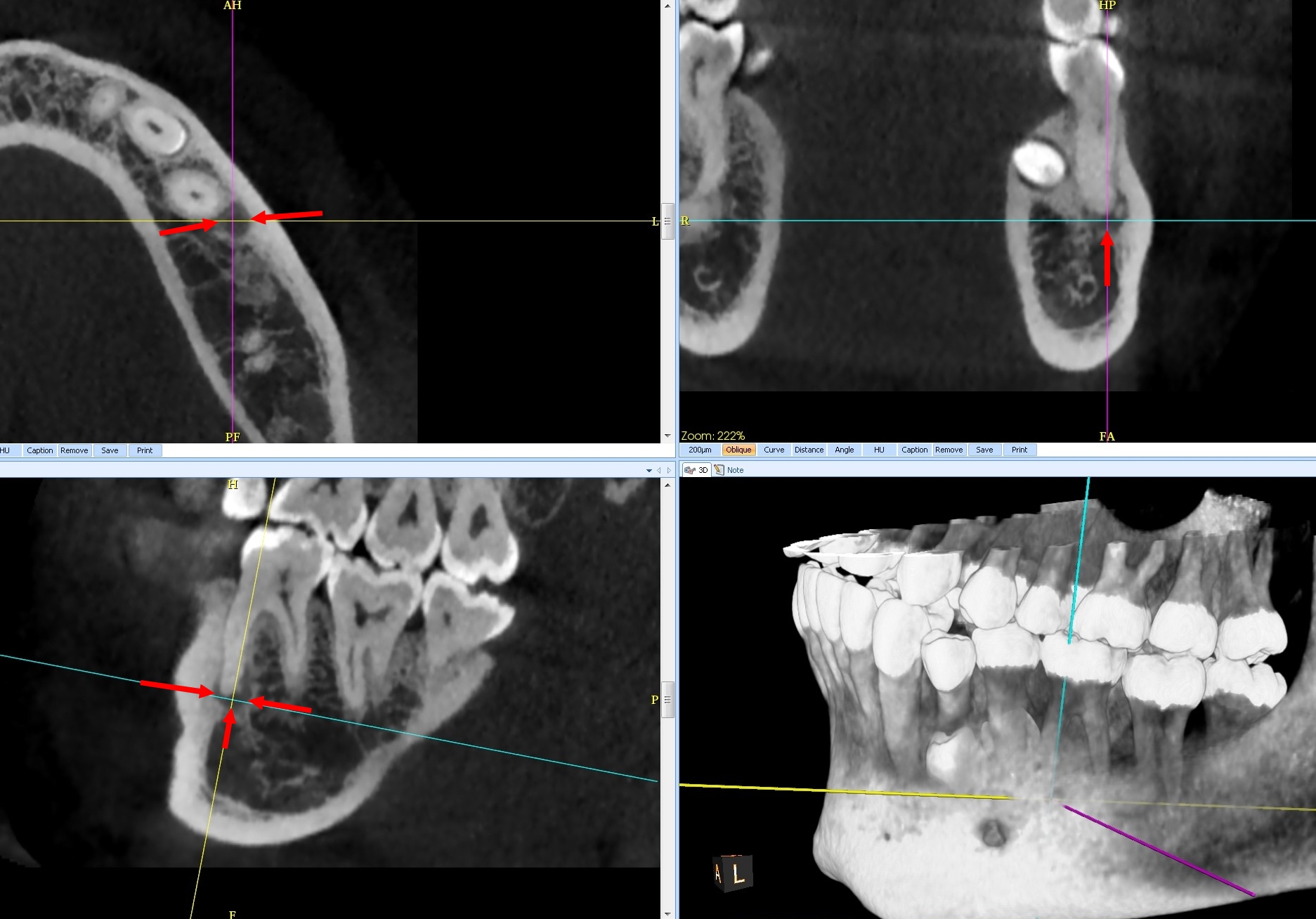
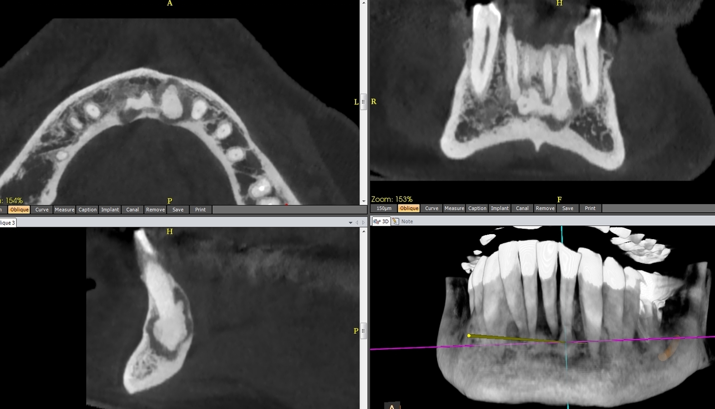
A. Observez sur les reconstructions axiale et panoramique les lésions apicales de :
a.46
b.43
c.et du bloc incisif.
B. Comment les décririez-vous ?
1. Lacunaire (hypodensité homogène) ?
2. En cocarde ou en cible à centre dense (lacune centrée par une zone centrale calcifiée) ?
3. Presque complètement dense, calcifiée (blanche), entourée d’un liseré clair (noir) ?
C. Quel diagnostic envisagez-vous et quelle attitude thérapeutique adoptez-vous ?
DÉCOUVREZ LES RÉPONSES :
B. a. 46 : Lacunaire
b. 43 : En cocarde ou en cible à centre dense (lacune centrée par une zone centrale calcifiée).
c : Bloc incisif : Presque complètement dense, calcifiée (blanche), entourée d’un liseré clair (noir).
C. Le diagnostic est : Dysplasie osseuse (anciennement cémento-osseuse) floride.
L’attitude à adopter est l’abstention thérapeutique. Les dents sont vivantes et doivent être considérées comme des dents saines, sauf complications infectieuses, comme pour tout patient.
DISCUSSION : LES DYPLASIES OSSEUSES ou DYSPLASIES CEMENTO-OSSEUSES
Affections congénitales caractérisées par la production accrue de cément réalisant des lésions cémento-osseuses apicales non tumorales. Leur traitement est le plus conservateur possible et l’intervention réservée aux cas compliqués et/ou symptomatiques.
Leurs trois formes sont probablement les variantes d’un même processus lésionnel.
A. Les dysplasies osseuses (ou cémento-osseuses) focale et périapicale, (Fig.1 à 3), (anciennement cémentome) sont les plus fréquentes lésions fibro-osseuses périapicales non néoplasiques ; proches du fibrome cémento-ossifiant, beaucoup plus rare et dont on a parfois du mal à la distinguer. De découverte le plus souvent radiologique, chez une femme d’âge moyen, le plus souvent à la mandibule :
– antérieure (affectant volontiers les apex incisifs ou canins) pour la dysplasie osseuse périapicale,
– ou postérieure pour la dysplasie osseuse focale,
– elles évoluent toujours sur dent vivante, en trois stades :
> stade I : dit « ostéolytique », lacune apicale, correspondant à du tissu fibreux, sur dent saine (Fig.1) ;
> stade II : intermédiaire, un dépôt de cément se formant au sein de la clarté apicale (Fig.2) ;
> stade III : hyperdensité apicale cernée par liseré clair périphérique (Fig.3)



B. La dysplasie osseuse (ou cémento-osseuse) floride (Fig.4). Elle touche surtout la femme noire d’âge moyen, affectant les deux maxillaires de façon plus ou moins diffuse et symétrique, associant des lésions de grande taille à tous les stades, pouvant s’infecter et se compliquer d’ostéite.

C. Le « cémentome » gigantiforme, très rare, familial, il débute à l’adolescence, aboutissant à la maturité à des formations cémentaires volumineuses et denses pouvant comme la DCO floride intéresser les quatre quadrants et se compliquer.
DIAGNOSTIC DIFFÉRENTIEL
Il peut faire discuter essentiellement deux diagnostics : le cémentoblastome et le fibrome ossifiant s’il est apical.
1. CEMENTOBLASTOME
D’origine ectomésenchymateuse et seule vraie tumeur constituée de cellules productrices de cément, c’est une formation solitaire, d’évolution lente, de siège le plus souvent prémolomolaire mandibulaire, révélée par une voussure ou des douleurs ou fortuitement par la radiographie : tumeur dense arrondie, bien limitée avec une bordure claire de tissu non minéralisé, adhérant directement à la racine d’une dent vivante. Son aspect « typique », radiaire, « en rayons de roue » est rarement observé. Parfois, il s’agit d’une formation résiduelle, à la suite d’une extraction dentaire. La lésion est alors arrondie à centre dense hétérogène et bordure claire, volontiers douloureuse. Bien que s’agissant d’une formation bénigne, la fréquence de ses récidives justifie une chirurgie et une surveillance rigoureuses (Fig.5).

2. FIBROME OSSIFIANT ou. CEMENTO-OSSIFIANT (Fig.6)
Tumeur bénigne fibro-osseuse assez rare, le fibrome ossifiant touche l’adulte jeune et est siège de mandibulaire postérieur dans 80% des cas.
Cliniquement muette, elle peut entraîner déplacements dentaires et déformations osseuses.
Elle est radiologiquement variable, allant de la forme lacunaire pure soufflant les corticales sans les rompre, avec parfois des calcifications, des travées ou des îlots denses, à la formation multiloculaire hétérogène, mixte ou radio-opaque, mais à limites nettes. Le diagnostic différentiel est parfois difficile avec la dysplasie fibreuse ou la dysplasie osseuse.

POUR EN SAVOIR PLUS :
1. BELLAICHE N. Guide pratique du cone beam en imagerie dento-maxillaire. Editions CdP, 2016. www.editionscdp.fr
2. BARNES L, EVESON JW, REICHART P, SIDRANSKY D. World Health Organization classification of tumours: pathology and genetics of head and neck tumours. Lyon, IARC Press, 2005.
3. MARTIN-DUVERNEUIL N, AURIOL M. Les tumeurs maxillo-faciales : imagerie, anatomopathologie. Montpellier, Sauramps Médical, 2004.
4. MARTIN-DUVERNEUIL N. Tumeurs du massif facial. EMC, Radiologie et Imagerie médicale-musculo-squelettique-neurologique-maxillofaciale, 31-675-A-20, 2013, 20 pages.
5. MARTIN-DUVERNEUIL N, HODEZ C. Imagerie dentaire, sinusienne et maxillo-faciale, Lavoisier, 2016.
6. ALSUFYANI NA, LAM EWN. Osseous (cemento-osseous) dysplasia of the jaws: clinical and radiography analysis. J Can Dent Assoc, 2011, 77: b70.
7. CHADWICK JW, ALSUFYANI NA, LAM EWN. Clinical and radiographic features of solitary and cemento-osseous dysplasia-associated simple bone cysts. Dentomaxillofacial Radiol, 2011, 40: 230-235.
8. MACDONALD-JANKOWSKI DS. Focal cemento-osseous dysplasia. Dentomaxillofacial Radiology, 2008, 37: 350-360.
9. ESKANDARLOO A, YOUSEFI F. CBCT findings of periapical cémento-osseous dysplasia: a case report. Imaging Sci Dent, 2013, 43: 215-218.
10. KIM JH, SONG BC, KIM SH, PARK YS. Clinical, radiographic, and histological findings of florid cemento-osseous dysplasia: a case report. Imaging Sci Dent, 2011, 41 : 139-142.

NORBERT BELLAICHE
– Médecin radiologue
– Auteur du Guide pratique du Cone Beam en imagerie dento-maxillaire



1 commentaire(s)
laurent-bordes@hotmail.fr
Le 26 novembre 2023 à 22 h 26 min
Bonjour Docteur BELLAICHE, je suis chirurgien-dentiste en Nouvelle Calédonie et j’ai un cas d’image CBCT sur un patient que je n’arrive pas à diagnostiquer. Pourriez-vous m’aider? Confraternellement, Dr Laurent BORDES