Imagerie
Dans la peau du radiologue – Cas n°5 : Une sinusite chronique particulière
Publié le 03/07/2018La semaine dernière, Norbert Bellaiche vous présentait son cinquième cas et vous proposait de vous mettre dans la peau d’un radiologue. Aviez-vous trouvé le bon diagnostic ? Découvrez toutes les réponses en bas d’article !
CLINIQUE :
Patient de 70 ans, sans antécédent particulier, consultant pour « sinusite » évoluant depuis 6 mois, avec obstruction nasale droite et gêne oculaire droite depuis quelques semaines.

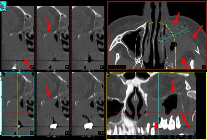
CONE BEAM :
1. Observez la formation tissulaire maxillaire et ethmoïdale droite centrée par la croix. Tentez de la décrire : masse
• Bien ou mal limitée ?
• Bordée par une capsule ou non ?
• Lysant les parois sinusiennes ou non ?
• Envahissant l’orbite droit ou non ?
• Occupant la fosse nasale droite ou non ?
• Homogène ou non ?
• Calcifiée ou non ?
2. Quel type de lésion évoquez-vous ? Bénigne ou maligne ?
3. Quelles hypothèses diagnostiques sont à envisager ?
4. Quel examen complémentaire permettra le diagnostic étiologique ?
DÉCOUVREZ LES RÉPONSES :
1. Masse
• Bien limitée,
• Non bordée par une capsule,
• Lysant les parois sinusiennes maxillaires, ethmoïdales, ainsi que les parois orbitaires et nasales,
• Envahissant l’orbite droit,
• Occupant la fosse nasale droite,
• Homogène,
• Non calcifiée.
2. La lyse des parois sinusiennes, nasales et orbitaires est très évocatrice de lésion maligne.
3. Dans ce cadre, les deux étiologies les plus fréquentes à envisager sont :
• le carcinome épidermoïde
• et le lymphome.
4. Seule l’histologie, pratiquée sur prélèvement par endoscopie nasale, permet un diagnostic étiologique.
Le bilan d’extension peut être complété par TDM (scanner) et/ou IRM.
Dans ce cas, il s’agissait d’un lymphome de type B, traité par chimiothérapie.
Le patient est en rémission depuis 5 ans.
DISCUSSION
Une tumeur sinusienne maligne est cliniquement longtemps muette ou s’exprime de façon aspécifique par un dysfonctionnement naso-sinusien, une obstruction nasale ou une épistaxis spontanée. Ces signes plus souvent unilatéraux font pratiquer un CBCT, évocateur s’il montre une masse volontiers volumineuse, hétérogène, plus ou moins irrégulière et surtout lytique sur les parois naso-sinusiennes, et notamment du plancher sinusien et la fosse ptérygomaxillaire. Cet aspect fera discuter les pathologies tumorales malignes et pratiquer une endoscopie et une IRM. Le diagnostic est le plus souvent histologique, révélant les diagnostics suivants :
- Carcinome épidermoïde (Fig. 1) : c’est la plus fréquente des tumeurs malignes naso-sinusiennes, favorisée par l’exposition au nickel, à la poussière d’industrie du cuir ou du textile et au tabac. Touchant un peu plus l’homme que la femme autour de la soixantaine, il impose la réalisation d’une IRM avec injection pour le bilan d’extension locale (classification TNM) et vers la base du crâne, directement ou par extension perineurale rétrograde sur le trajet du nerf trijumeau.


- Adénocarcinomes : ils touchent les travailleurs du bois et plus fréquemment l’ethmoïde (40% des cas) que le sinus maxillaire (20%).
- Lymphomes non Hodgkiniens (Fig. 2) : il s’agit essentiellement de lymphomes de type B à grandes cellules, diffus dans les sinus maxillaires avec atteintes ganglionnaires précoces et de lymphomes de type T/NK (Natural Killer), plus agressif, dans les fosses nasales. Leur aspect n’est pas spécifique en CBCT ou en IRM et leur diagnostic est surtout histologique.
- Plus rares sont les autres sarcomes, les métastases (rénales surtout), le myélome et le plasmocytome.
POUR ALLER PLUS LOIN
1. BELLAICHE N. Guide pratique du cone beam en imagerie dento-maxillaire, CDP Ed., Malakoff, 2016
2. CAVEZIAN R, PASQUET G. Cone beam, imagerie diagnostique en odontostomatologie. Elsevier Masson ; 2011
3. DUBRULLE F, MARTIN-DUVERNEUIL N, MOULIN G. Imagerie en ORL. Elsevier Masson ; 2010

NORBERT BELLAICHE
– Médecin radiologue
– Auteur du Guide pratique du Cone Beam en imagerie dento-maxillaire



0 commentaire(s)