Prothèse
L’empreinte optique en prothèse fixée
Publié le 24/05/2017« Numérique », ce mot résonne dans nos pratiques, que ce soit la gestion de nos dossiers informatiques en passant par la radiographie 2D et 3D jusqu’au traitement de nos empreintes.
Cette révolution, même si elle paraît récente à l’échelle de l’histoire de la dentisterie, avait déjà été anticipée dès les années 70 par François Duret qui posa les bases de l’empreinte optique et de la CFAO (conception et fabrication assistée par ordinateur) dentaire.
Cette mutation a déjà eu lieu au sein de nos laboratoires de prothèse depuis les années 2000. Elle a ouvert la voix vers de nouveaux matériaux comme la zircone ou les céramiques hybrides.

Aujourd’hui, elle envahit nos cabinets dentaires avec un large choix de solutions permettant au chirurgien-dentiste de devenir son prothésiste ou de collaborer étroitement avec son laboratoire de prothèse.

Pourquoi l’empreinte optique ?
Les matériaux et les techniques conventionnels en prothèse fixée ont fait leur preuve depuis longtemps. Leurs limites sont aussi clairement définies. Tirages, bulles, arrachements, déformations sont à l’origine de l’effet chance lors de l’empreinte, qui ne permet pas de contrôle per opératoire de la qualité de celle-ci.

De plus, les délais de traitement, le stockage et le transport sont autant de facteurs de risques d’échecs.
Enfin, le traitement de laboratoire, la coulée, la réalisation du modèle positif unitaire, le détourage, l’usure du plâtre lors des réglages des points de contacts sont tout autant de risques d’obtenir une prothèse qu’il faudra ajuster en bouche.
Le fichier numérique qui sera envoyé au laboratoire peut être réalisé de 3 façons différentes :
- Scannage du modèle eu sein du laboratoire avec un scanner de table.

- Enregistrement d’une empreinte conventionnelle par numérisation à l’aide du cone-beam (empreinte ou modèle en plâtre).

- Empreinte optique
L’empreinte optique se définit comme la projection d’un signal lumineux sous forme d’un point, d’une ligne ou d’une surface sur les surfaces dentaires. Le signal réfléchi sera recapté par la caméra ce qui permettra de créer le modèle tridimensionnel (3D).

L’acquisition des images 3D par le scanner intraoral peut se faire de deux façons, soit par l’enregistrement de clichés successifs qui seront reliés entre eux (nécessité de 30% de lien entre chaque photo pour assurer la continuité). L’inconvénient majeur de ce système est la vitesse d’acquisition.
L’autre mode d’enregistrement se fait en mode dynamique type film (environ 60 images secondes), les fichiers seront plus lourds à affiner mais l’acquisition sera extrêmement rapide (environ 5min pour enregistrer les deux maxillaires et l’occlusion).
La CFAO
La CFAO se décompose en 3 parties :
- L’acquisition du fichier 3D.
- La conception assistée par ordinateur ou CAO.
- La fabrication assistée par ordinateur ou FAO.
Il existe à l’heure actuelle 4 types de CFAO dentaire :

Avantages de l’empreinte optique :
- Précision équivalente à supérieure aux matériaux conventionnels de l’ordre du µ
- Les mesures optiques sont les plus précises à l’heure actuelle.
- Inaltérable, invariable, duplicable : pas d’usure et pas de déformation dans le temps.
- Facilement stockable et transportable/transférable : disque dur, clé usb, serveurs sécurisés.
- Retouche possible : il suffit de gommer la zone et de rescanner.
- Lien direct entre la bouche et le maître modèle : moins de risque d’erreur d’information.
A cela, nous pouvons ajouter que dans les cas complexes, tels les patients à haut risques nauséeux ou les empreintes multiples, l’empreinte pourra être réalisée progressivement afin de conserver la qualité de l’enregistrement.
Enfin, l’empreinte optique est un excellent outil de communication, que ce soit avec les patients pour leur expliquer les travaux prothétiques à effectuer ou le prothésiste. Nous pouvons échanger ensemble en temps réel en consultant le même fichier.
Fichiers
Chaque système possède un format dit propriétaire qui ne peut être lu que par les logiciels de la marque. Il existe aussi 2 formats de fichiers dit universels qui pourront être lus par l’ensemble des logiciels de conception de laboratoire.
Ces fichiers sont soit en accès direct pour l’export au laboratoire soit par une passerelle payante de décryptage ou de traitement du fichier.
Le premier fichier universel est le fichier STL
STL signifie Strandard tesselation language ou standard triangle language. Développé par 3D Systems en 1986. Il définit un maillage de triangle qui vont créer un objet 3D, la couleur et les textures de l’objet ne sont pas transférés dans le fichier (fichier en noir et blanc).

La deuxième fichier universel est le fichier PLY.
PlLY signifie Polygonal File Format il est aussi appelé Stanford file format. Il est constitué d’un assemblage de polygones auxquelles ont peut adjoindre des informations comme la transparence ou la couleur. Le fichier occupe moins d’espace mémoire (ici 6 Mo contre 10Mo en STL). Cependant, tous les logiciels 3D ne sont pas encore capables de gérer ce format.

Traitement numérique de l’empreinte optique :
Une fois l’acquisition des surfaces dentaires réalisée, le fichier brut n’est pas exploitable directement. Il doit être affiné de manière à éliminer les points aberrants, homogénéiser la densité des points dans l’espace, combler les éventuels manques.

Flux numériques
Certains systèmes vont intégrer le traitement des empreintes pour « nettoyer les fichiers », d’autres vont passer par des centres permettant de préparer les empreintes pour le prothésiste.

Les empreintes seront ensuite anonymisées et transiteront par des serveurs sécurisés vers les laboratoires de prothèse.

Différentes caméras
Voici quelques exemples de scanners intra oraux, la liste ne peut être exhaustive car de nouveaux modèles sont mis sur le marché très régulièrement.


Particularités des caméras :
Poudrage : certains systèmes nécessitent un poudrage pour faciliter l’enregistrement des surfaces dentaires. Cela nécessite un apprentissage supplémentaire afin d’obtenir un dépôt fin et sans paquet. Certains systèmes comme DWIO (Dental Wings) vont évoluer vers une acquisition sans poudrage.
Couleur : De nombreux systèmes font aujourd’hui une acquisition en couleur. Cette acquisition donne une texture au fichier 3D qui ressemble au tissu dentaire mais n’est pas toujours reflet des couleurs réelles présentes. Néanmoins, cela permet de faciliter la lecture de limites complexes.
Mode de capture : les modes images seront plus lents en acquisition que les modes vidéos.
Fichier : les systèmes sont de plus en plus ouverts vers l’export au format STL, permettant de travailler sur les empreintes avec n’importe quel logiciel de laboratoire. Attention cependant le fichier STL ne permet pas de transmettre de texture couleur au prothésiste.
Chairside : Certains systèmes proposent une chaîne complète (acquisition, conception, usinage) permettant au praticien, s’il le souhaite, de passer à la CFAO Directe.
Au moment de choisir vers quel scanner intra–oral le chirurgien dentiste veut s’orienter, il faut en discuter avec son prothésiste afin de s’orienter vers un modèle correspondant aux attentes du praticien mais compatible avec la chaîne du laboratoire. Ensuite, il sera nécessaire de passer par une phase d’essai et d’apprentissage pour que l’ensemble de l’équipe du cabinet puisse appréhender ce nouvel équipement.
Lors du dernier IDS, beaucoup de nouveautés ont été présentées dans le domaine de la CFAO ainsi que les dernières évolutions : systèmes sans fils, enregistrement de la teinte, modèles plus compacts, plus rapides, textures plus proches des tissus dentaires…


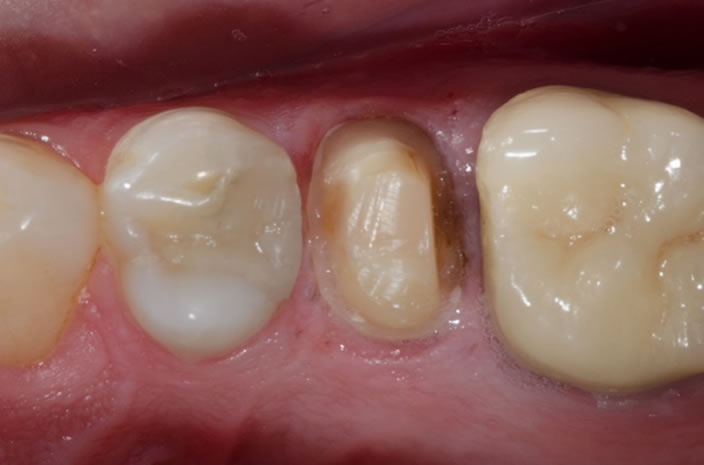
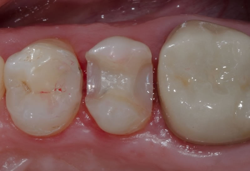
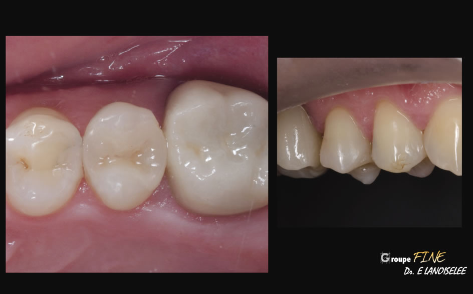
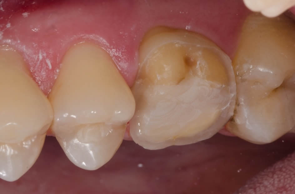
Cas cliniques




(Réalisation Digital Labs, La Roche-Sur-Yon)








Conclusion
L’empreinte optique est en plein essor, les firmes rivalisent d’ingéniosité pour nous proposer des produits performants et rapides. Après avoir conquis le monde de la prothèse fixée, elle s’est ouverte à la prothèse adjointe et à l’implantologie, offrant ainsi des solutions complètes aux chirurgiens-dentistes.
Bibliographie :
1. Aragón ML, Pontes LF, Bichara LM, Flores-Mir C, Normando D. Validity and reliability of intraoral scanners compared to conventional gypsum models measurements: a systematic review. Eur J Orthod. 2016 Jun 7.
2. Bugugnani R. Les empreintes en prothèse conjointe. Matériaux et manipulations : 40 causes d’erreurs. Editions CDP, Paris 1979
3. Descamps F, Fages M. La CFAO en odontologie : les bases, les principes et les systèmes. Editions CDP, Paris 2016.
4. Duret F, B. Pelissier, Duret B. Peut-on envisager de faire des empreintes optiques en bouche. Stratégies prothétiques Février 2005; Vol 5, n°1 : 67-74.
5. Nedelcu RG, Persson AS. Scanning accuracy and precision in 4 intraoral scanners: an in vitro comparison based on 3-dimensional analysis. J Prosthet Dent. 2014 Dec;112(6):1461-71.



0 commentaire(s)