Orthodontie
Gestion d'un cas simple d'encombrement pour débuter avec le Système Invisalign Go
Publié le 17/04/2020Introduction
De nombreuses compagnies dentaires ont mis sur le marché leur système d’aligners orthodontiques à destination des omnipraticiens.
Align Technology a fait figure de pionnier en la matière avec son produit : Traitement Invisalign Go. C’est un outil de choix à utiliser pour la correction de troubles orthodontiques mineurs ou pour aligner des dents avant un traitement de réhabilitation pluridisciplinaire plus complexe associant parodontologie, éclaircissement, composites, overlays, facettes, couronnes, bridges, implants…
Le gradient thérapeutique de Gil Tirlet et Jean-Pierre Attal débute par l’orthodontie, grâce à cette dentisterie minimalement invasive liée aux progrès de l’adhésion, aux aligners quasi invisibles et à l’avènement du digital, notre pratique est en pleine révolution et nos paradigmes de soins ont drastiquement changé. Nous pouvons donner ou rendre le sourire à nos patients sans mutiler leurs dents, ce qui nous vaut une reconnaissance et un retour émotionnel très touchants. Ces patients retrouvant, avec leur nouveau sourire, une confiance en eux, génératrice de bien-être physique et psychologique.
Comme pour tout traitement, écouter et entendre son patient, comprendre ses motivations, ses souhaits et tenter d’y répondre avec une palette de propositions les plus conservatrices et biomimétiques possible sont les clés de la réussite.
Le patient, lui, doit comprendre et adhérer à son traitement, en être acteur et porter ses gouttières le temps demandé. Nos explications doivent être donc claires, convaincues, convaincantes et comprises car la stricte observance des consignes est indispensable.
S’il est toujours plus confortable pour un praticien de gérer toutes les étapes d’un même traitement, le patient, apprécie également d’avoir un interlocuteur unique qui le prend en charge.
L’étude complète du cas comprenant l’anamnèse le diagnostic, l’établissement du plan de traitement et la connaissance de nos limites en fonction de notre expérience, nous incitera à adresser les cas complexes à nos orthodontistes référents plus chevronnés.
L’avis de l’orthodontiste peut d’ailleurs être pris avant de commencer un traitement d’alignement car toute thérapeutique ne doit jamais compromettre les chances du patient. Il est également possible de référer un patient, si après examen du plan de traitement virtuel, il s’avère que le cas est plus difficile que prévu à gérer.
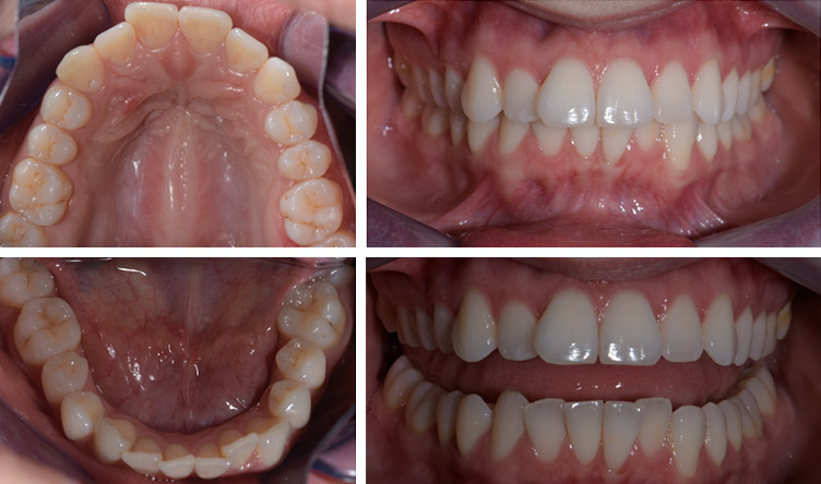
Le cas étudié
Le cas présenté ici est un cas simple pour débuter avec l’utilisation d’aligners en omnipratique, il s’agit d’une patiente de 30 ans.
Motif de consultation : cette jeune femme ne supporte plus le décalage de ses incisives supérieures ni son encombrement inférieur. Il s’agit d’une récidive, elle a déjà eu un traitement multi attaches à l’adolescence.
Doléances : elle est demandeuse de facettes et de couronnes pour réaligner ses dents antérieures. Nous lui proposons un traitement orthodontique Invisalign Go bien plus adapté à son cas que de la prothèse fixe. Nous arrivons à la convaincre en mettant en avant le coté non mutilant, simple, quasi invisible, confortable, peu contraignant et relativement court de cette thérapeutique.
Nous insistons également sur la nécessité d’une contention qui sera partie intégrante du traitement.
Évaluation du cas

L’évaluation de cas prenant en compte différents paramètres est « au vert » : le traitement est donc possible et réalisable en toute confiance.


L’examen exo buccal montre une légère augmentation de l’étage inférieur, des lèvres charnues, un bon tonus musculaire et une posture de repos.
À l’examen fonctionnel, on note une déglutition et une respiration normales, un chemin de fermeture sans déviation. Il n’y a pas de parafonction. La patiente ne souffre pas de pathologie articulaire.
Psychologiquement, la patiente est sympathique, agréable, motivée et compliante.
L’examen endo buccal objective une bonne hygiène bucco dentaire, des dents en excellent état et un parodonte sain mais pas très épais. Il n’y a pas de souci de freins lingual ou labiaux. Les dents de sagesse sont en place et ne posent pas de problèmes.
Vertical : recouvrement incisif normal.
Transversal : un encombrement maxillaire et mandibulaire notamment et des arcades en U un peu
« accidentées » au niveau antérieur. Un décalage des milieux inter incisifs, les axes des incisives et
canines à corriger.
Sagittal : une classe I d’Angle Canine et Molaire droite et gauche, surplomb horizontal normal.


Radio panoramique

Spécifications du traitement


L’examen du ClinCheck (plan de traitement virtuel) est primordial ; il faut effectivement bien le détailler et le modifier jusqu’à l’obtention des résultats souhaités, et ce, toujours en adéquation avec les données biologiques, structurelles, parodontales et esthétiques.
Nous devons tenir compte des mouvements effectués et de leur « innocuité » sur le parodonte. Pour cette patiente : nous avons limité la vestibuloversion et l’expansion et privilégié une réduction interproximale.
La patiente, enchantée par la visualisation du résultat grâce au plan de traitement virtuel retenu a accepté notre proposition : elle promet de porter ses gouttières avec assiduité. Le plan de traitement validé comporte 20 aligners qui seront portés 10 jours chacun pour réaligner les dents sur les arcades et remettre en place les milieux.
Nous avons pris le bord libre de la 21 en référence puisque nous envisageons une coronoplastie du bord
libre de la 11.
Le stripping ou réduction inter proximale est peu invasif de 0.2 à 0.3 mm soit au total 3 mm réparti de la
16 à la 26 pour le maxillaire et 0.6 mm à la mandibule réparti entre 31-32 42-43 et 43-44.
Cette réduction interproximale a eu lieu à des phases différentes du traitement, car compte tenu de l’encombrement initial, nous n’avons pas voulu abîmer les faces vestibulaires des dents à limer et avons préféré décaler certains strippings.
Nous avons pris soin de coller (avec beaucoup de rigueur) des taquets optimisés pour avoir des forces de rotation (entre autres) adaptées, et des taquets d’ancrage supplémentaires au niveau molaire.



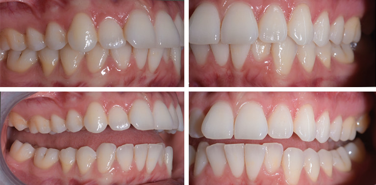
Suivi de traitement : la patiente est revue toutes les 4 gouttières et iTero, notre caméra optique, nous permet de valider que l’évolution du traitement est conforme au ClinCheck.
Les rendez-vous de contrôle nous permettent de nous assurer de la bonne durée de port des aligners, de leur enfoncement et ajustement, de l’intégrité des taquets en place et du déplacement des dents dans le bon sens.
Empreinte optique en début et en cours de traitement

Évaluation de la progression avec iTero

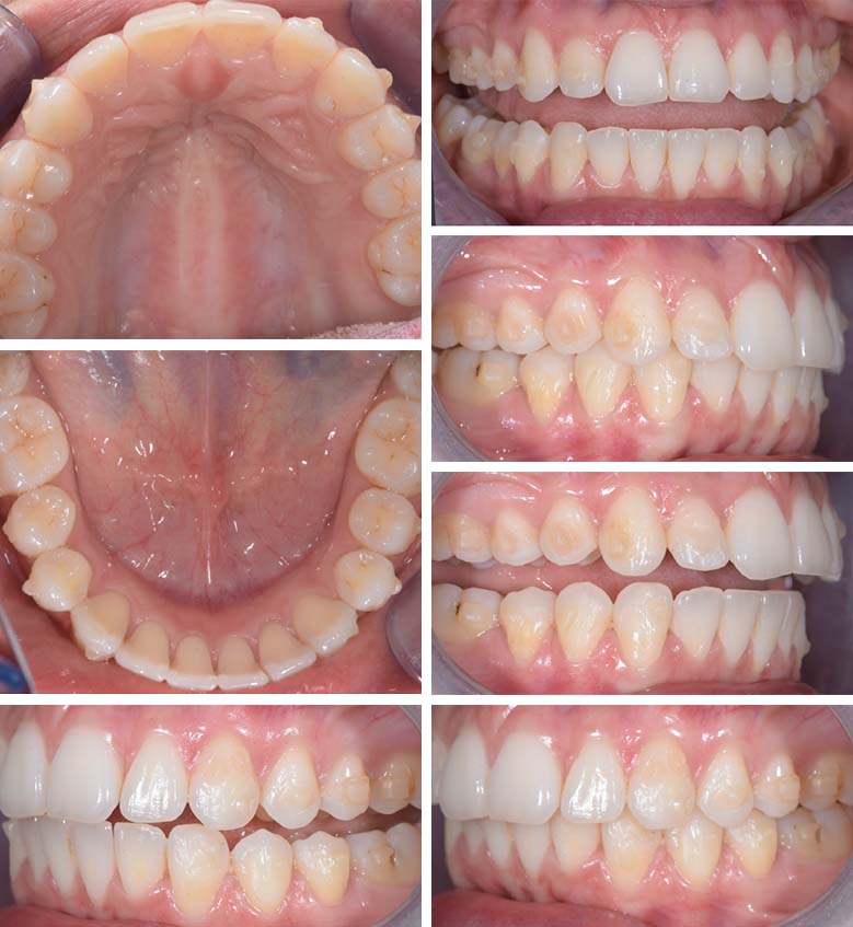
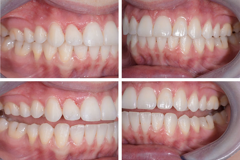
Photos prises à la fin du traitement Invisalign Go et avant les finitions

Finitions de traitement : elles étaient très simples dans ce cas, nous avons réalisé une équilibration, un éclaircissement flash, une plastie gingivale au niveau de la 12 (le jour des photos), des composites sur 12 et 22 et une coronoplastie de la 11. Nous n’avons pas eu recours à des aligners supplémentaires.
Nous avons également réalisé des gouttières de contention type Vivera et en avons fourni 3 jeux à la
patiente. Les consignes de port sont : 15 à 20 heures par jour pendant 6 mois (puis toutes les nuits les
6 mois suivants). Par la suite, la patiente pourra les porter une nuit sur deux si tout est stable : nous
conseillons une contention à vie.
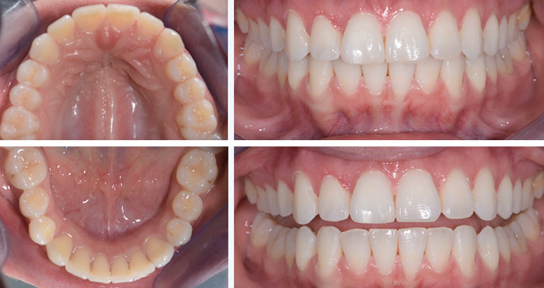
Résultats du traitement et photos de fin de traitement




Conclusion
La patiente est ravie du résultat obtenu : nous avons répondu à sa demande à l’aide d’un traitement rapide et conservateur.
Avec la mode des selfies et des réseaux sociaux, la demande spontanée de patients bien informés en quête de traitements simples et courts pour améliorer leur sourire est grandissante. Intégrer le Système Invisalign Go dans notre omnipratique nous ouvre de nouveaux horizons en nous incitant à travailler de manière moins invasive et en respectant, voire, en restaurant les critères esthétiques, structurels, fonctionnels, biologiques et parodontaux.
Nous devenons encore plus « ortho-conscients » en utilisant le Système Invisalign Go car ce traitement est réservé aux adultes, aux cas simples à modérés d’encombrement, d’espacement ou de malpositions. Nous pouvons l’utiliser également pour faciliter l’hygiène bucco dentaire de patients chez lesquels les malpositions favorisent l’accumulation de plaque, recréer de l’espace en vue de pose d‘implants, préalablement à des reconstitutions ou restaurations par composites, facettes, couronnes ou avant des réhabilitations complètes.
La réussite sera conditionnée par l’écoute des doléances du patient, la pose du bon diagnostic, des objectifs réalisables et une stratégie de traitement en adéquation.
Il faut bien évidemment garder la maîtrise des plans de traitement virtuels car notre sens clinique et notre observation du patient dans sa globalité restent au centre de la réflexion à mener en tant que praticien.

Docteur Corinne Attia
Exercice privé à Lyon
Pour en savoir plus, rendez-vous sur le site invisalign-go.fr




0 commentaire(s)