Chirurgie
Exérèse, reconstruction et restauration prothétique d'une volumineuse lésion osseuse mandibulaire
Publié le 28/09/2023Cas d’un jeune patient adressé pour prise en charge d’une lésion osseuse volumineuse associée à une déformation faciale.
Il s’agit d’un jeune homme de 28 ans, vu en première consultation en février 2019, avec une déformation faciale génienne basse gauche. À la palpation exobuccale, le patient ne présentait pas d’hypoesthésie labio-mentonnière gauche. En endobuccal, le fond du vestibule gauche était comblé de 42 à 36 et la langue légèrement refoulée du côté controlatéral liée à une déformation de la corticale linguale. L’aspect des muqueuses de recouvrement était normal.
Le diagnostic clinique
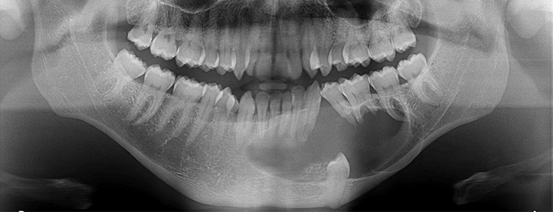
L’examen de la radiographie panoramique montre la présence d’une volumineuse lésion ostéolytique, d’aspect multinucléé, bordée d’un liseré ostéocondensant, localisée au niveau mandibulaire de la 43 à la 36 avec refoulement du germe de la 34 au niveau du rebord basilaire, de résorptions radiculaires au niveau des 33, 35 et 36 et ponctuée de calcifications intralésionnelles.

Fig. 01 : image ostéolytique radioclaire monogéodique de contour net >5cm localisée au niveau de la symphyse et de la branche horizontale mandibulaire gauche. Cette image est parsemée de fines ponctuations radio-opaques en rapport avec la dent incluse n°35 refoulée dans le rebord basilaire et présence de résorptions radiculaires inflammatoires au niveau des dents 43, 34, 36 et 37 en imagerie panoramique.
L’examen Cone Beam confirme le caractère monogéodique de la lésion, de dimension 51x26x20mm.
Celle-ci entraîne une déformation et un amincissement des corticales et s’insère au collet de la dent incluse.
La dent 34 refoulée au niveau du rebord basilaire, présente des images de résorption interne en feuillets et on retrouve des calcifications à son contact. Enfin, on met en évidence des images de résorption radiculaire externe sur les dents 43, 42, 41, 31, 32, 33, 35 et 36.

Fig. 02 : Cone Beam qui permet d’apprécier la taille, le refoulement des structures dentaires, l’effet de masse et l’amincissement des structures osseuses.
Compte tenu des éléments cliniques et radiographiques panoramique et du Cone Beam, les hypothèses diagnostiques d’une telle lésion radioclaire(1-4) s’orientent selon la dernière classification de l’OMS des kystes et tumeurs bénignes des mâchoires(5) vers :
• Un kyste dentigère d’origine embryonnaire
• Un kératokyste odontogénique
• Une tumeur de Pindborg(6)
• Un améloblastome unikystique(7)
Le compte rendu histologique issu de la biopsie réalisée s’oriente vers un kyste dentigère, malgré la présence des calcifications qui sont plutôt évocatrices d’une tumeur de Pindborg.
Dans le cas de lésion ostéolytique importante, l’acte chirurgical peut être iatrogène pour les structures nerveuses (hypoesthésie ou anesthésie le plus souvent transitoire), dentaires (perte de vitalité lorsque la lésion est au voisinage de l’apex d’une dent) ou peut majorer le risque de fracture mandibulaire.
Ainsi, certains auteurs(8) proposent de réaliser une décompression avec mise en place d’un drain associée à une biopsie d’une partie de la lésion. Cette alternative thérapeutique a pour but de diminuer la taille de la lésion et donc d’intervenir plus tard (en général 3 à 6 mois voire 1 an pour les lésions les plus volumineuses) sans risque pour les structures nobles (dents, nerf alvéolaire inférieur et mandibule).
Cette thérapeutique est néanmoins controversée car elle présente deux désavantages : la nécessité d’une collaboration très importante de la part du patient (suivi régulier et irrigation biquotidienne à la chlorhexidine du drain par le patient) et le prélèvement d’un échantillon de la lésion qui ne met pas à l’abri de se trouver en présence d’une tumeur maligne sur une autre partie de celle-ci.

Fig. 03 : exemple de drain de décompression, mis en place dans le fond du vestibule antérieur afin de diminuer la taille de la lésion osseuse sous-jacente. Pour maintenir le drain en place, celui-ci est suturé à l’aide de fil de suture non résorbable (ici Mersuture, Ethicon® 4/0).
Compte tenu de l’importance de la lésion, et afin de proposer au patient une thérapeutique la plus conservatrice possible, il est donc proposé de réaliser cette technique par décompression de la lésion associée à une biopsie d’une partie de la lésion.
Si la lésion répond bien au traitement 3 mois après la mise en place du drain, ce traitement est continué jusqu’à ce que sa taille devienne raisonnable pour intervenir sans risque pour les structures nobles.
Le traitement mis en place montre dans ce cas une bonne évolution d’avril 2019 à juillet 2020 avec une quasi disparition de la lésion en 18 mois.

Fig. 04 : suivi radiographique du patient d’avril 2019 à juillet 2020 montrant la diminution progressive de la taille de la lésion osseuse.
À ce stade, le drain est déposé et le patient est suivi jusqu’en juin 2021 afin de valider l’absence de récidive avant d’envisager de passer à l’étape de reconstruction et de réhabilitation.

Fig. 05 : Cone Beam en juin 2020 montrant la disparition totale de la lésion ostéolytique et le défaut osseux résiduel.
Compte tenu de la perte osseuse associée à cette lésion (défaut transversal supérieur à 10mm, longitudinal de 17mm et vertical de 6,5mm), il est proposé au patient une greffe osseuse autogène selon la technique des lames corticales décrite par Fouad Khoury(9).
Cette technique opératoire consiste à positionner un fragment osseux prélevé en intra-oral au niveau d’un site receveur, afin de reconstruire la crête osseuse prélèvement osseux intra-oral d’un bloc cortico-spongieux d’origine rétro-molaire. L’os particulaire cortico-spongieux est récupéré à la fois au niveau du bloc osseux et au niveau du site donneur. Les lames osseuses sont ensuite ostéosynthésées à l’aide de micro-vis et la partie interne du coffrage est remplie d’os particulaire autogène.

Fig. 06 : comblement du gap entre les lames osseuses autogènes à l’aide d’os particulaire autogène récupéré à l’aide d’un collecteur d’os..

Fig. 07 : ostéosynthèse des lames osseuses à l’aide de microvis Stoma®.
À 4 mois, on peut valider la bonne régénération osseuse au niveau du Cone Beam, lors de la planification implantaire et lors du temps opératoire de la pose des implants.
Fig. 08 : Cone Beam de contrôle montrant le gain osseux transversal et vertical. Planification implantaire à l’aide du logiciel SMOP (SwissMeda®).

Fig. 09 : réouverture du site greffé 4 mois après la réalisation de la greffe osseuse et dépose des micro-vis d’ostéosynthèse.
Références bibliographiques
(1) Bali A., et al., Imaging of Radiolucent Jaw Lesions.
Semin Musculoskelet Radiol 2020. 24(5) : p. 549-557
(2) Kumar J., et al., Radiolucent Jaw Lesions : Imaging Approach.
Indian J Radiol Imaging, 2021. 31(1): p. 224-236
(3) MacDonald D., Lesions of the jaws presenting as radiolucencies on cone-beam CT.
Clin Radiol, 2016. 71(10): p. 972-985
(4) MacDonald D., The most frequent and/or important lesions that affect the face and the jaws.
Oral Radiol, 2020. 36(1): p. 1-17
(5) Siozopoulou V. et F.M. Vanhoenacker, World Health Organization Classification of Odontogenic Tumors and Imaging Approach of Jaw Lesions.
Semin Musculoskelet Radiol, 2020. 24(5): p. 535-548.
(6) Somayaji G., et al., Recurrent Pindborg tumor of the maxilla: a case report and review of the literature.
Ear Nose Throat J, 2013. 92(2): p. 84-7
(7) Titinchi F. et Brennan P.A., Unicystic ameloblastoma: analysis of surgical management and recurrence risk factors.
Br J Oral Maxillofac Surg, 2022. 60(3): p. 337-342.
(8) Gao L., et al., Decompression as a treatment for odontogenic cystic lesions of the jaw.
J Oral Maxillofac Surg, 2014. 72(2): p. 327-33.
(9) Khoury F. et Hanser T., 3D vertical alveolar crest augmentation in the posterior mandible using the tunnel technique: A 10-year clinical study.
Int J Oral Implantol (Berl), 2022. 15(2): p. 111-126.



1 commentaire(s)
Frédéric VINCENT
Le 30 septembre 2023 à 22 h 31 min
Très beau cas. Qu'en est il de la 34 refoulée, à l'origine de la lésion? Quel a été le devenir des dents voisines qui on subi une résorption externe?