Bienvenue sur Dentalespace !

Notre site internet est susceptible d'afficher des informations sur des médicament ou des dispositifs médicaux au travers de liens publicitaires entre professionnels de santé.

En continuant votre navigation sur le site, vous certifiez être un professionnel de santé bucco-dentaire.

Êtes-vous professionnel de santé ?

Prothèse

Mainteneur d’espace antérieur collé : le bridge Cantilever pédiatrique

Introduction(bridge)

Les traumatismes sur dents temporaires antérieures sont la cause principale des édentements unitaires antérieurs. Environ trois quarts des traumatismes en denture temporaire passent inaperçus mais leurs répercussions peuvent se révéler par la suite. Si les conséquences fonctionnelles et esthétiques lors d’un endentement sont immédiates et évidentes, des répercussions à plus long terme sur l’acquisition des différentes fonctions oro-faciales et le développement psychologique de ces enfants peuvent apparaître(1-2).

La technique d’arc palatin au maxillaire, largement utilisée jusqu’alors, peut être remise en question avec le développement des techniques adhésives. Cependant cette solution ne permet que de remplacer une dent en s’appuyant sur une dent controlatérale, elle ne sera pas possible lors d’endentement étendu.

 

 

Le bridge cantilever pédiatrique

La distance intercanine ne varie pas une fois que les canines temporaires sont en occlusion. Cependant, lors de l’absence de plusieurs incisives, les incisives adjacentes au site d’avulsion peuvent se déplacer dans l’espace laissé vacant.

 

Figure0 - bridge cantilever pédiatriqueFig. 01 : fermeture de l’espace 1 an après avulsion (post traumatisme).

 

Pour pallier ce phénomène de migration dentaire, la seule solution est la réalisation d’une prothèse pédiatrique. Les indications et les objectifs de ces dispositifs visent à maintenir l’espace et la longueur des arcades essentiels au contrôle des phénomènes de dentition. De même qu’ils contribuent à la conservation des fonctions oro-faciales, tout en rétablissant l’équilibre neuro-musculaire essentiel à l’harmonie de la croissance cranio-faciale.

Jusqu’à présent, lorsque l’indication de la réalisation d’une prothèse pédiatrique visant à maintenir l’espace était posée, le choix se portait sur une technique d’arc palatin ou lingual. Ces dispositifs habituellement utilisés contiennent des vérins ou des boucles afin de ne pas perturber la croissance transversale. Ils sont de ce fait, assez encombrants, et présentent les inconvénients des dispositifs scellés (descellement, fractures des parties métalliques, ou encore les effractions des espaces biologiques et le développement de lésions carieuses sur les dents support…).

 

La principale difficulté lors de la réalisation de ces arcs réside dans la prise d’empreinte avec les techniques physico-chimiques et les réflexes nauséeux associés. Cette difficulté peut être aujourd’hui complètement contournée grâce aux empreintes optiques.

 

Figure1 - bridge cantilever pédiatriqueFig. 02 : empreinte optique sur la patiente.

 

Les contre-indications ne sont que peu nombreuses et vont surtout découler du comportement et de l’hygiène de l’enfant. En effet, une absence de coopération ainsi qu’une mauvaise hygiène bucco-dentaire vont contre-indiquer la réalisation de restaurations quelles qu’elles soient(3).

La prothèse en dentisterie pédiatrique répond à un cahier des charges ; il faut que le protocole soit simple, fiable et reproductible. La solution d’un bridge collé Cantilever répond à ces impératifs. En seulement deux séances cliniques, la dent causale a la possibilité d’être extraite et la dent restante, qui va servir de pilier, peut être préparée (même sans anesthésie si l’extraction ou la perte est antérieure comme ici). Grâce à la CFAO ces 2 séances cliniques peuvent même avoir lieu dans une même journée.

 

Dans un premier temps, la technique conventionnelle de préparation palatine a été utilisée(4). De même, un champ opératoire plural a été réalisé. Enfin le matériau de prédilection en dentisterie pédiatrique étant le composite, il a été sélectionné en première intention. Cependant pour avoir un résultat esthétique acceptable, il a fallu utiliser un bloc de teinte A1 MT (Moyenne Translucidité mais luminosité supérieure au LT ou HT). En effet, les teintes HT (Haute Translucidité) ont donné des résultats trop grisés et les LT (Basse Translucidité) n’étaient pas assez lumineuses par rapport aux dents temporaires.

 

Figure2 - bridge cantilever pédiatrique
Fig. 03 : préparation palatine.

 

Figure3abc - mainteneur d’espace antérieur colléFig. 04 : digue plurale, en haut et vue occlusale post 1er collage (axe d’insertion pas idéal avec la préparation palatine), en bas.

 

Figure4abc-mainteneur d’espace antérieur colléFig. 05 : résultat immédiat de la restauration en composite avant et après réhydradation (J+7) et radiographie de contrôle post collage.

 

Cette première tentative fût un échec car l’extension s’est cassée au niveau de la connectique quelques mois après. Le composite n’était pas assez résistant aux contraintes pour ce genre de restauration.

 

Figure-5abFig. 06 : fracture de la 1ère restauration au niveau de la connectique. 

 

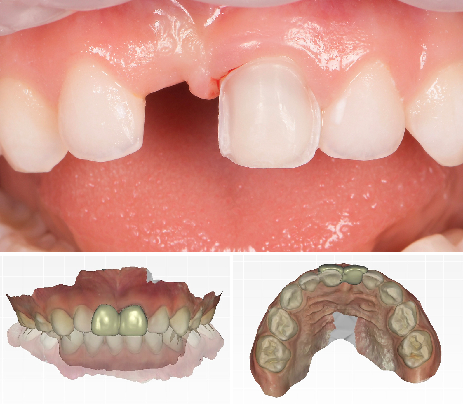
De ce fait, lors de la deuxième tentative, de la céramique (disilicate de lithium) fût usinée à sa place. De plus, s’agissant d’une thérapeutique provisoire, chez un enfant dont la coopération est limitée, une préparation vestibulaire est acceptable et va faciliter les étapes de préparation, d’empreinte et de collage. La modélisation et la réalisation de la pièce en céramique (comme la précédente en composite) peuvent être faites dans la journée même si un système de CFAO est utilisé, ou s’il existe un laboratoire au sein du cabinet. Une attention particulière a été apportée à l’épaisseur de la connectique. En effet, même si en denture temporaire, les 12mm2 habituellement de mise chez l’adulte, ne peut être obtenu, on essaiera d’avoir au moins la moitié.

 

Figure6abc - mainteneur d’espace antérieur collé
Fig. 07 : préparation vestibulaire et modélisation 3D (laboratoire Global Esthetic Bordeaux).

 

Toujours dans une démarche de simplification des protocoles, la digue fendue a été préférée à la digue plurale. En plus d’être le champ opératoire de prédilection en pédodontie, cette technique a l’avantage de ne pas nécessiter d’anesthésie car on peut se dispenser de crampons. C’est une solution certes, moins isolante, mais pour une technique de temporisation ayant une durée de vie courte en bouche, cela reste tout à fait acceptable. L’assemblage est réalisé à l’aide d’un composite de collage sans potentiel adhésif.

 

Figure7 - bridge cantilever pédiatriqueFig. 08 : assemblage sous digue fendue.

 

Le résultat est esthétique, fonctionnel et s’inscrit dans la dentisterie adhésive moderne.

Une telle thérapeutique va demander une motivation de la part de l’enfant et de ses parents ainsi qu’un suivi par contrôles réguliers. À la seule différence que, selon l’éruption de la dent remplacée, il faudra avulser la dent pilier ou couper l’extension(5-6).

 

Figure8abcFig. 09 : situation post 2è collage.

 

Conclusion 

En dentisterie pédiatrique, une des clés de la réussite des traitements mis en œuvre va être la coopération des patients. La relation de confiance qui va être établie entre le praticien, l’enfant et ses parents, va être un gage de la réussite de la thérapeutique. Afin de répondre au cahier des charges de la dentisterie pédiatrique, on retiendra la thérapeutique suivante comme étant la plus simple, fiable et reproductible : préparation vestibulaire, restauration en céramique et un mode d’assemblage sous champ opératoire simplifié (digue fendue) utilisant un composite de collage sans potentiel adhésif. 

Le traitement ne va pas s’arrêter à la pose de la restauration car le suivi est essentiel et fait partie intégrante du traitement. L’hygiène, la croissance, l’éruption des dents permanentes, ainsi que l’intégrité de la restauration mise en place vont être des paramètres à vérifier régulièrement. Dans certaines situations, l’abstention sera un choix thérapeutique raisonné. D’autant plus que dans de nombreux cas, la demande de remplacement vient plus des parents que de l’enfant lui-même… Le chirurgien-dentiste doit donc évaluer la nécessité de réaliser de telles thérapeutiques en prenant en compte la coopération de l’enfant ainsi que l’implication des parents. 

 

Références bibliographiques :

(1) C. Naulin-Ifi – Odontologie pédiatrique clinique.
CdP. coll « JPIO » 2011.

(2) Collège des Enseignants en Odontologie Pédiatrique – Guide d’odontologie pédiatrique, la clinique par la preuve, 2è édition.
CdP. Mars 2018. 203-20.

(3) American Academy of Pediatric Dentistry (AAPD) – Guidelines.

(4) G. Tirlet, J-P.AttalLes bridges collés Cantilever en vitrocéramique renforcée au disilicate de lithium : raisons du choix et mise en œuvre clinique.
Réalités cliniques 2015. Vol. 26, n°1 : pp. 35-46.

(5) C. Laulan – Le Cantilever pédiatrique.
Dentoscope 2021 numéro 234;38-44.

(6) C. Laulan – La CFAO chez l’enfant.
Dentoscope 2021 numéro 242;10-18.

Articles qui pourraient vous intéresser

Tous les articles

0 commentaire(s)

Laisser un commentaire

Inscription à la newsletter

Le meilleur de l’actualité du dentaire dans votre boîte mail une fois par semaine !

« * » indique les champs nécessaires

Depuis notre création en 1998, Dentalespace.com a la vocation de vous apporter le meilleur de notre profession : de la formation continue, des conseils, un agenda d’événements, des conférences en ligne, des informations sur vos produits et matériels, des petites annonces, etc. Inscrivez-vous à notre newsletter pour ne rien manquer du meilleur du dentaire !