Omnipratique
MIH (Hypominéralisation Molaire Incisive), état des lieux et thérapeutiques
Publié le 26/10/2021Introduction
Le terme de MIH est apparu dans la littérature en 2001, il signifie : Molar Incisor Hypomineralisation. Comme son nom l’indique, il s’agit d’un défaut qualitatif de la minéralisation de l’émail touchant au moins une première molaire permanente et selon la sévérité, associé ou non, à une hypominéralisation des incisives. En fonction de l’atteinte, on pourra également retrouver des hypominéralisations sur les 2è molaires et les canines permanentes dans environ 5 à 30% des cas.
Il n’y a pas de différence homme/femme et la prévalence mondiale est d’environ 15%(1). Même si la prévalence varie en fonction des pays, les biais de mesures en fonction des études peuvent être incriminés. De plus, des traces de MIH ont aussi été relevées sur des populations du moyen-âge(2). Cette pathologie est certes identifiée et de ce fait davantage diagnostiquée, mais elle ne date pas d’hier…
Les causes sont très complexes et multifactorielles. Toutefois, on pourra retenir des prédispositions génétiques auxquelles vont s’ajouter des mécanismes de régulation très complexes et une influence de l’environnement.
Tableau clinique
Le congrès de l’EAPD (Académie Européenne d’Odontologie Pédiatrique) a défini des critères de diagnostic en 2003. Des opacités délimitées, des fractures post-éruptives, des restaurations atypiques ainsi que des extractions de molaires(3). Le diagnostic différentiel doit surtout s’établir entre des amélogénèses imparfaites et des hypominéralisations d’origine traumatique pour les dents antérieures.
Cliniquement, les dents vont présenter des colorations blanches ou brunes opaques sur une partie ou sur toute la surface de la dent.

Fig. 01 : incisives centrales atteintes de MIH.

Fig. 02 : molaires atteintes de MIH (HSPM + MIH pour la figure gauche).
Cette atteinte peut être soit légère (émail blanc, opaque), soit modérée (coloration jaune, brune, surface crayeuse et effondrement post-éruptif de l’email ou PEB) ou enfin sévère (atteintes associées à des pertes de substances importantes). De plus, l’intégrité de la dent peut être aussi touchée.
Plus la MIH est sévère et plus le manque d’émail sera important donc plus les sensibilités/douleurs seront importantes aussi. Cette sévérité varie en fonction des personnes, mais également au sein des dents d’un même individu : on parle d’atteinte asymétrique. Toutes les dents ne sont pas touchées de la même façon et ne nécessiteront donc pas les mêmes types de soin.
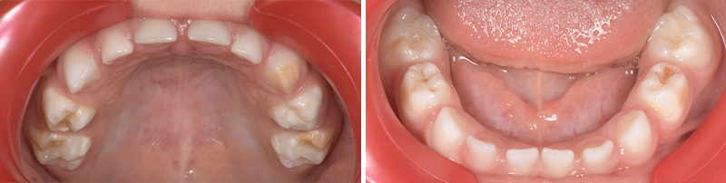
L’équivalent en denture temporaire est appelée HSPM pour Hypomineralised Second Primary Molar(4).

Fig. 03 : arcades maxillaire et mandibulaire d’un enfant atteint de HSPM.
Un enfant présentant une HSPM a 5 fois plus de risques de présenter également une MIH en denture permanente.
Thérapeutiques
Protéger
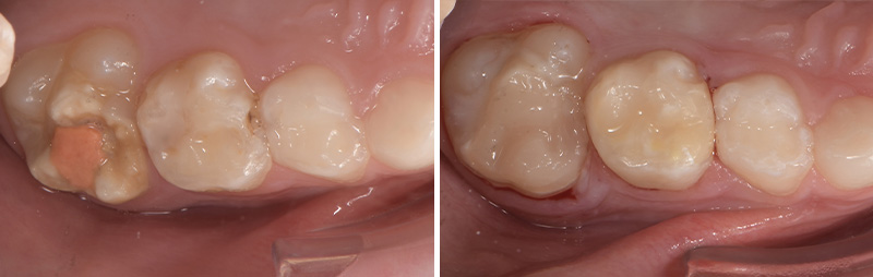
Les dents atteintes de MIH sont plus poreuses, plus sensibles et donc forcément plus sujettes aux atteintes carieuses. Il faut donc impérativement protéger ces dents et utiliser tous les moyens de prévention à notre disposition à ce jour. En plus d’une hygiène alimentaire et bucco-dentaire adaptée, des fluorations régulières au fauteuil et des scellements de sillons peuvent et doivent être mis en place très tôt. Même lorsque l’éruption des dents de 6 ans n’est pas complète, des techniques de scellement de sillons au CVI en technique « finger-press » sont très intéressantes en attendant des restaurations plus conventionnelles(5).

Fig. 04 : scellement de sillon au CVI (triage rose) ayant permis d’attendre l’éruption complète (sans atteinte carieuse, contrairement à la 5 présentant une atteinte occlusale).
Des thérapeutiques de désensibilisation en ambulatoire à l’aide de CPP-ACP (Tooth Mousse, MI Paste Plus), permettent de reminéraliser l’émail et de diminuer les sensibilités(6).
Enfin, des contrôles plus réguliers vont être nécessaires tous les 3 à 6 mois afin d’intervenir le plus tôt possible (protéger, réparer, soigner…) et ne pas laisser une situation se dégrader.
Soigner
Si en antérieur le préjudice esthétique n’est pas trop important et qu’il n’y a pas de perte de substance, il est conseillé d’attendre la majorité afin de réaliser un éclaircissement suivi de la technique d’érosion infiltration (ICON), plus ou moins une stratification de composite esthétique.
L’éclaircissement est interdit en dessous de 18 ans, mais c’est un préalable très intéressant à utiliser à la majorité. En dessous de 18 ans l’ICON seul peut aussi être utilisé ainsi que les techniques conventionnelles.


Fig. 05 : traitement antérieur, éclaircissement bouche complète, ICON et stratification de
composite sur 11 (l’éclaircissement ayant suffit pour la 41).
Pour les secteurs postérieurs, en fonction du délabrement tissulaire (PEB ou consécutif à une atteinte carieuse), on optera pour des restaurations directes en composite ou indirectes de type onlay en céramique.

Fig. 06 : traitement postérieur par résine composite.

Fig. 07 : traitement postérieur par onlay céramique.
Même si en pédodontie, pour les restaurations indirectes, le composite est assez plébiscité, le fait de réaliser ces onlays directement en céramique permet non seulement de ne pas réintervenir à l’âge adulte mais également de ne pas avoir d’égression compensatoire ou de perte de DV due à l’usure prématurée du composite. De plus, si des thérapeutiques d’orthodontie doivent être mises en œuvre pendant la croissance, le collage sur de la céramique n’est plus un problème.
On notera toutefois qu’une dent atteinte de MIH n’a pas les même propriétés chimiques qu’une dent saine. Si la composition en elle-même reste inchangée, il existe une diminution du contenu minéral (prismes d’émail plus aplatis) et une augmentation du contenu protéique(7). Si des protocoles de collage doivent s’effectuer sur de l’émail non sain, déprotéiniser à l’aide d’hypochlorite pendant 1 minute après le mordançage augmente les valeurs d’adhésion.
Extraire
La décision d’extraction est la dernière alternative mais il est important de l’envisager en cas de délabrement très important des 6. Cette solution doit se prendre de concert avec un orthodontiste, ceci en fonction de la classe squelettique du patient, ou encore bien entendu, de la présence de germes des dents de sagesse. Leur absence ou encore un patient hypodivergent, contre-indique cette solution. Si elle est retenue, il conviendra avant d’extraire les dents de 6 ans, d’attendre la formation de la furcation des dents de 12 ans pour favoriser leur translation ainsi que celle des sagesses. L’âge idéal étant donc entre 8 et 11 ans.
Conclusion
Les patients ayant cette pathologie présentent des hypersensibilités importantes entraînant de plus des difficultés d’anesthésie. Au préjudice esthétique antérieur s’ajoute un risque carieux plus élevé ainsi que des échecs thérapeutiques (adhésion, fracture…). Cela engendre une anxiété majorée chez les patients qui ont 10 fois plus de soins que la moyenne.
Pour toutes ces raisons, cette pathologie est considérée comme un problème de santé publique dans de nombreux pays.
Les thérapeutiques sont principalement tournées vers la prévention et un suivi rigoureux afin de mettre en place les solutions adaptées au moment opportun en fonction de la sévérité. Cela allant de simples protocoles de fluorations jusqu’à l’extraction des dents concernées. Le dépistage est donc important. Lors du diagnostic d’un patient, il conviendra d’examiner la fratrie ainsi que les parents.
Références bibliographiques
(1) Zhao et al. – The prevalence of molar incisor hypomineralisation : evidence from 70 studies.
Int J Paediatr Dent 2018; 170-9
(2) Garot E., Couture-Veschambre C., Manton D., Beauval C., Rouas P. – Analytical evidence of enamel hypomineralisation on permanent and primary molars amongst past populations.
Sci Rep 2017; 7: 1712
(3) Weerheijm KL., Duggal M., Mejàre I., Papagiannoulis L., Koch G., Martens LC., Hallonsten AL. – Judgement criteria for Molar Incisor Hypomineralisation (MIH) in epidemiologic studies : a summary of the European meeting on MIH held in Athens, 2003.
Eur J Paediatr Dent 2003; 3: 110-3
(4) Elfrink et al. – Hypomineralised second primary molaras: prevalence data in Dutch 5-year-olds.
Caries Res. 2008; 42(4): 282-5
(5) Bekes K., Amend S., Priller J., Zamek C., Stamm T., Krämer N. – Hypersensitivity relief of MIH-affected molars using two sealing techniques: a 12-week follow-up.
Clin Oral Investig 2021 Sep
(6) Bakkal M., Abbasoglu Z., Kargul B. – The effect of casein phosphopeptide-amorphous calcium phosphate on molar-incisor hypomineralisation: a pilot study.
Oral Health Prep. Dent. 2017; 15: 163-7
(7) Farah RA., Swain MV., Drummond BK., Cook R., Atieh M. – Mineral density of hypomineralised enamel.
J Dent 2010 Jan;38(1):50-8



0 commentaire(s)