Implantologie et parodontologie
Mise en charge immédiate d'un maxillaire atrophié par la technique du All-on-4
Publié le 20/11/2019CLINIQUE
Nous allons traiter le cas d’une patiente porteuse d’une prothèse totale non rétentive.
Elle présente une perte de DVO due à l’usure des dents prothétiques.

Fig. 1 : Modèle d’étude et mise en articulateur en utilisant un arc facial, ce qui va permettre au prothésiste de réaliser une prothèse totale immédiate ajourée en palatin de 13 12 11 21 22 23, en réaugmentant la DVO et en suivant les principes d’occlusion de Planas (Réhabilitation neuro-occlusale RNO, P. PLANAS. S.A. 1987) pour amener le patient à une occlusion unilatérale alternée par des latéralités en fonction de groupe et surtout avec des AFMP (angle fonctionnel masticateurs de Planas) égaux.

Fig. 2 : Indication de la pose de 4 implants maxillaires selon les zones de E. Bedrossian (Bedrossian E et al. Fixed-prosthetic Implant Restoration of the Edentulous Maxilla: A Systematic Pretreatment Evaluation Method. J Oral Maxillofac Surg 2008;66:112-22 ) et suivant le protocole de P. Malo (All-on-4 immediate-function concept with Brånemark System implants for completely edentulous maxillae: a 1-year retrospective clinical study.
Maló P, Rangert B, Nobre M.).
Objectivation d’un kyste maxillaire résiduel en région de 12.

Fig. 3 : Vue occlusale du maxillaire édenté.

Fig. 4 : Ouverture à minima pour la pose des implants postérieurs inclinés à 30° et antérieurs droit.

Fig. 5 : Décharge vestibulaire en distal de la cavité kystique et décollement d’un lambeau de pleine épaisseur.
Énucléation du kyste et parage de la cavité kystique.

Fig. 6 : Placement d’un implant droit en zone de 12, le BLX par son coté agressif permet une stabilité primaire dans cette zone présentant un défaut osseux, mais sans entraîner de compression trop importante, ce qui permettra de garder intact le « pont » osseux au niveau créstal : bien meilleur pour le devenir du comblement osseux fait avec du Bio os° L.

Fig. 7 : Objectivation des axes implantaires après pose de 4 nouveaux piliers coniques SRA (2 droits en hauteur 2.5 et 2 angulés à 30° pour les implants postérieurs).

Fig. 8 : Fermeture avec une dizaine de points simples (monocryl 5.0).
Le fait de ne pas lever de lambeau de grande étendue et de limiter les incisions permettra un post opératoire très simple pour le patient sans aucun œdème, comme en chirurgie guidée flapless.

Fig. 9 : Solidarisation du complet provisoire transvissé sur 2 gaines titanes provisoires antérieurs, utilisation d’un composite structure SC en pistolet.

Fig. 10 : Mise en place des transferts pour piliers coniques.

Fig. 11 : Empreinte au plâtre.

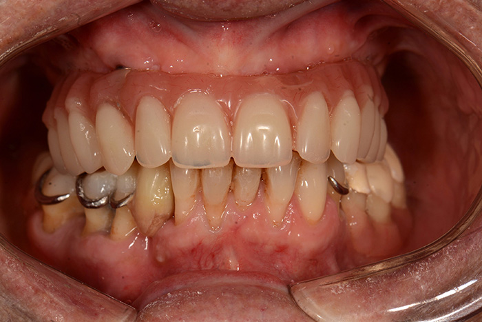
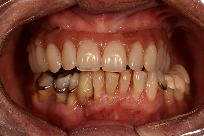
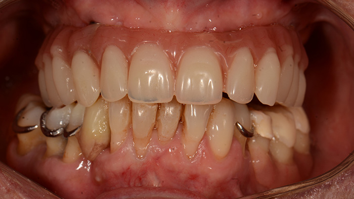
Fig. 12 : Une gouttière a été réalisée pour coller sur les dents 35, 36 et 37 du Stellite mandibulaire afin de retrouver une DVO et une occlusion équilibrée s’inscrivant dans une courbe de Spee et de Wilson idéale.

Fig. 13 : Des composites ont été réalisés en bouche au niveau de 44 et 45 pour retrouver des contacts lors de l’occlusion en intercuspidie maximale et en fonction de groupe lors de l’occlusion fonctionnelle droite.

Fig. 14 : Latéralité gauche en fonction de groupe.

Fig. 15 : Latéralité droite en fonction de groupe.
Nous retrouvons des AFMP droit et gauche symétriques, ce qui permettra une mastication unilatérale alternée.

Fig. 16 : Vue de profil

Fig. 17 : Aspect esthétique

Fig. 18 : Mise en place le soir même de la chirurgie d’une prothèse provisoire transvissée.

Fig. 19 : Panoramique de contrôle après lequel le vissage au niveau de l’implant en 25 sera repris.

Pour aller plus loin, rejoignez Mathieu Chautard les 4 et 5 juin 2020 à La Ciotat pour deux journées autour du thème : Réhabilitation implantaire de l’édenté : Concept du Pro Arch.



0 commentaire(s)