Omnipratique
Prise en charge esthétique, conservatrice et multidisciplinaire du sourire
Publié le 01/02/2022Introduction
L’esthétique du sourire a pris une part extrêmement importante dans la société actuelle, de par l’évolution des réseaux sociaux notamment. Bon nombre de patients viennent en consultation esthétique en demande de facettes, sans connaître les différentes possibilités pour pallier à leur motif de consultation.
Le gradient thérapeutique, maintenant largement enseigné dès le début du cursus de la formation de chirurgien-dentiste, se doit d’être la référence en terme de réflexion d’un plan de traitement.
Étude de cas
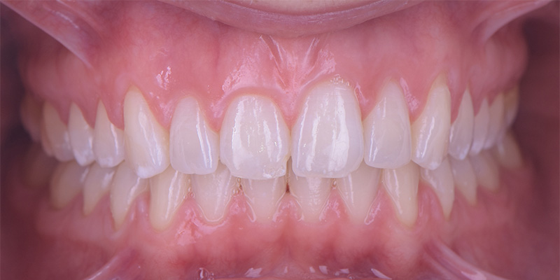
Pour le cas présenté dans cet article, il s’agit d’une jeune patiente de 28 ans, complexée par son sourire depuis quelques années. Lorsqu’on l’interroge sur ses gênes esthétiques, elle nous fait part du défaut d’alignement dentaire et des collets au maxillaire, et de la teinte générale de ses dents.

Fig. 01 : situation initiale.
Elle présente, au maxillaire, une rétroversion de 11 & 21 et une vestibulo-version associée à une rotation de 12 & 22. À la mandibule, une égression du bloc incisif avec un léger encombrement.
Le choix d’un traitement orthodontique est fait en 1ère intention. La demande étant uniquement esthétique et les mouvements à réaliser relativement simples, un traitement par gouttières invisibles est effectué (Invisalign). En fin de traitement, mise en place de contention par fil Memotain à la mandibule, et fil tressé au maxillaire temporairement en attendant le traitement par composite de 11, pour réaliser par la suite les gouttières de contention maxillaire et mandibulaire (port toute la journée pendant 4 mois, puis demi-journée pendant 4 mois, puis seulement port nocturne à vie).

Fig. 02 : traitements orthodontiques. À gauche : pose de taquets. À droite : résultat après traitement Invisalign.

Fig. 03 : traitements orthodontiques. À gauche : mise en place de contention par fil Memotain à la mandibule. À droite : fil tressé au maxillaire temporairement.

Fig. 04 : situation après traitements orthodontiques.
Les gouttières Invisalign ont servi de réservoir pour le traitement d’éclaircissement externe les 2 dernières semaines.

Fig. 05 : blanchiment dentaire.
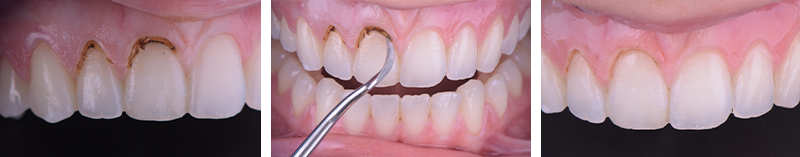
Nous réalisons ensuite un composite stratifié sur chaque angle de la 11, avec une légère coronoplastie du bord libre de 21. La technique du « try-button » est réalisée en amont pour planifier la stratification. Le filtre polarisé sert à objectiver les teintes dentine, tandis que le filtre noir & blanc permet de relever la translucidité du composite émail.

Fig. 06 : technique de composite « try-button ».

Fig. 07 : coronoplastie et restauration composite.
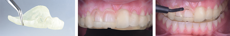
Une nouvelle empreinte numérique est alors réalisée afin de demander au prothésiste (Sophie Dallem) un guide de gingivectomie pour l’alignement des collets, la dernière préoccupation de la patiente.
Il nous permet une chirurgie complétement guidée de la gencive avec la partie supérieure, et une ostéoplastie avec la partie inférieure. Ici, une ostéoplastie flapless a été réalisée avec des inserts ultrasoniques diamantés PK1 (conçus par Paulo Kano) sur CVDentus, donc la partie inférieure ne nous a pas été utile. La gingivectomie a été réalisée avec un bistouri électrique.

Fig. 08 : guide de gingivectomie.

Fig. 09 : gingivectomie au bistouri électrique.

Fig. 10 : résultat de la gingivectomie.

Fig. 10 : situation finale.
La patiente, initialement venue consulter pour des facettes, est ravie du résultat et ne souhaite rien de plus pour son sourire malgré la proposition d’un traitement ICON pour éliminer les taches blanches.

Fig. 11 : avant-après.
Cette approche multidisciplinaire (orthodontie, soins conservateurs, éclaircissement, chirurgie muco-gingivale) est rendue possible par les nombreuses formations disponibles dans notre métier, avec un flux numérique toujours plus simplifié et avec un résultat prédictible.
Elle n’en reste pas moins possible avec plusieurs intervenants, si une bonne communication est mise en place.
Ce gradient thérapeutique permet également, en cas d’insatisfaction de la patiente à ce stade, d’obtenir un résultat encore plus harmonieux avec la réalisation de facettes par la suite.
Références bibliographiques
• LAYAN P. – Élongation coronaire esthétique 2.0.
Aonews, Paris, 2021
• Haili L., Haifang T., Tian Z., Na K. – Assessment of the periodontal health status in patients undergoing orthodontic treatment with fixed appliances and Invisalign system: A meta-analysis.
Baltimore, 2018
• Alkahtani R., Stone S., German M., Waterhouse P. – A review on dental whitening.
J Dent. 2020
• La Rosa GRM., Pasquale S., Pedullà E., Palermo F., Rapisarda E., Gueli AM. – Colorimetric study about the stratification’s effect on colour perception of resin composites.
Odontology. 2020



1 commentaire(s)
jeanpierregibson1963@gmail.com
Le 04 fevrier 2022 à 14 h 58 min
Pouvez vous s'il vous plaît mon cher confrère nous faire part du bilan postural complet avant,après traitement et après 1 an assorti des bilans posturographiques. Merci Confraternellement J p Rousseau