Prothèse
Prise en charge d'une situation d'érosion sévère
Publié le 07/11/2018L’érosion dentaire est un processus pathologique conduisant à la dissolution chimique des tissus dentaires. Ce processus multi-factoriel touche les individus de manière différente en termes de localisation sur les arcades dentaires et en termes d’intensité. La prise en charge thérapeutique nécessite d’en comprendre les mécanismes, d’en corriger les effets et de prévenir les récidives.
Le cas présenté est celui d’une femme âgée de 61 ans qui, consciente de la dégradation de sa santé dentaire, recherche une prise en charge restauratrice et conjointement une amélioration esthétique de son sourire.

Etat de santé général :
Mis à part un traitement de fond pour l’asthme, le principal problème de santé de la patiente est d’ordre psychiatrique. Elle souffre de troubles bi-polaires et d’un syndrome dépressif, diagnostiqués et traités par anti-dépresseurs, stabilisateurs de l’humeur et des somnifères. La patiente se décrit volontiers comme une personne sensible, souvent triste et déprimée, fatiguée.
Anamnèse :
Grâce à des questionnaires standardisés, la patiente nous précise sa situation médicale et nous exprime son historique et son ressenti bucco-dentaire :
• extraction des dents de sagesse,
• pas de crainte particulière vis-à-vis des soins dentaires,
• présence occasionnelle d’un mauvais goût ou d’une mauvaise odeur dans la bouche,
• apparition de caries depuis les 3 dernières années,
• présence de trous à la surface des dents,
• présence de creux ou d’encoches à la base des dents,
• bourrages alimentaires,
• bruits dans l’articulation des mâchoires,
• difficulté à mâcher des aliments durs,
• positionnement de la langue contre les dents lors de la déglutition,
• gênée et complexée par son sourire
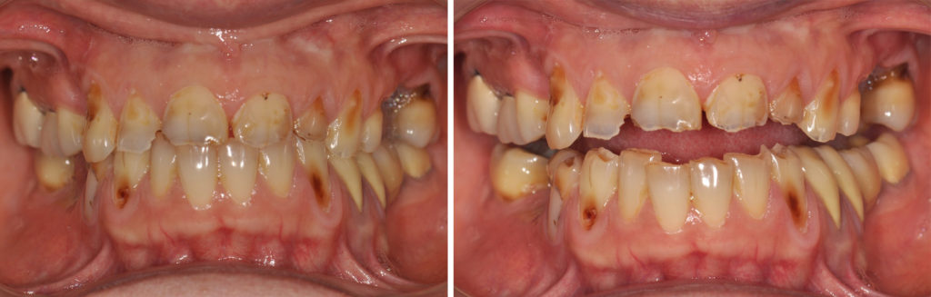
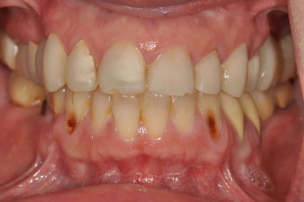
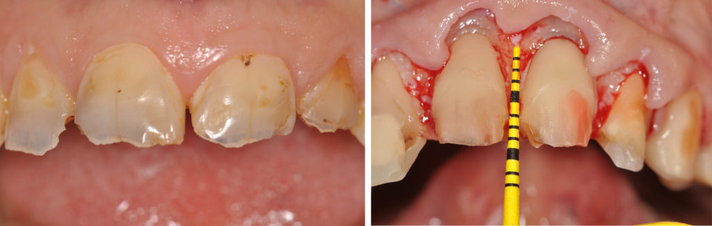
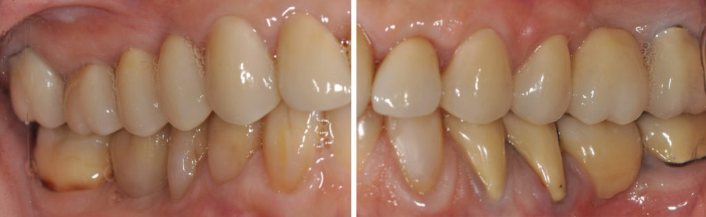
Fig. 2a à 2f : vues intra-buccales de la situation initiale




Analyse dentaire :
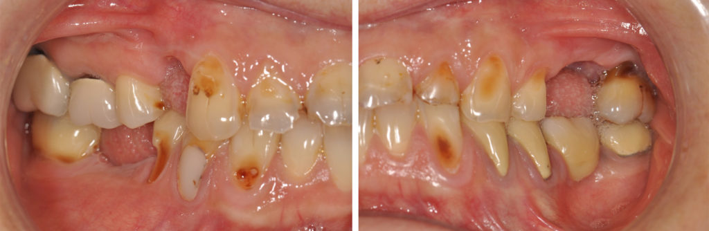
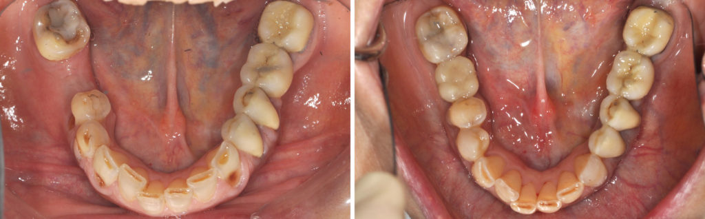
• les dents 14, 25, 26, 36 et 46 ont toutes été extraites pour des raisons de délabrements des tissus dentaires (et non pas pour des raisons parodontales),
• les dents 17 et 16 sont dévitalisées et porteuses de coiffes céramo-métalliques dont les limites vestibulaires sont exposées. La dent 36 est remplacée par un bridge céramo-métallique de 4 éléments en appui sur les dents 34, 35 et 37 (dévitalisées),
• les dents 11, 22, 27, 44, 45 et 47 présentent des obturations coronaires en composite qui présentent des signes d’infiltration,
• toutes les les autres dents présentent des signes d’érosion avancée avec des plages d’exposition dentinaires, larges par endroit, vestibulaires, linguales et/ou occlusales.
Analyse parodontale :
On ne note pas de signes – ni cliniques, ni radiologiques – de maladie parodontale (pas de poches, pas de mobilités…).
Le biotype parodontal est fin. On note des récessions gingivales sur les dents et dont certaines sont très proches de la ligne de jonction muco-gingivale. L’alignement des collets des incisives maxillaires est asymétrique.
Analyse fonctionnelle :
La palpation des structures articulaires est douloureuse dans l’ATM droite. La palpation des muscles masticateurs est sensible. Le chemin d’ouverture est rectiligne et l’amplitude d’ouverture est normale. On note une déglutition atypique avec poussée linguale.
On peut noter que les rapports incisifs sont presque en bout à bout et on suspecte que l’usure marquée des faces palatines des incisives supérieures ne soit causée par l’action combinée de l’érosion chimique et de l’attrition fonctionnelle (contacts dento-dentaires et pulsion linguale).
Analyse dento-faciale :
De nombreux points sont à observer à ce stade, mais un des plus importants est celui de la dynamique des lèvres. Au repos, on note une exposition insuffisante des dents maxillaires, alors que les dents mandibulaires sont normalement exposées. Lors du sourire maximal, le niveau de la ligne de sourire est moyen.

Conséquences thérapeutiques :
La synthèse des éléments diagnostiques permet de déterminer les orientations thérapeutiques :
• gestion du phénomène érosif par des conseils comportementaux, alimentaires et des prescriptions personnalisées,
• re-minéralisation et renforcement de l’émail encore en présence,
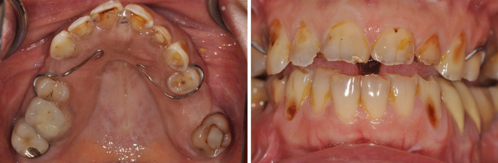
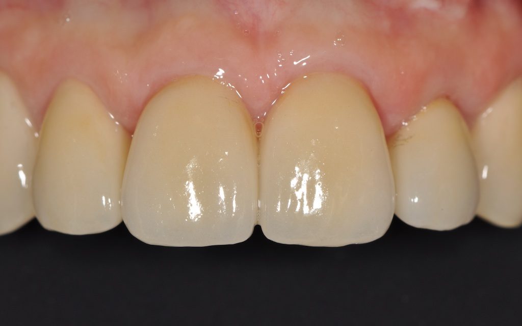
• renforcement et aménagements pré-prothétiques des tissus parodontaux : greffes conjonctives sur 13, 44 et 45, alignement des collets (Fig. 7a, b et c),
• augmentation de la dimension verticale au profit de l’arcade maxillaire pour une meilleure exposition des dents maxillaires et pour une amélioration des rapports inter-incisifs fonctionnels,
• ré-éducation de la posture linguale par des exercices orthophoniques,
• protection des dents les plus fragiles par des coiffes prothétiques périphériques,
• restauration directe (composite) des lésions dentaires mineures

Une fois ce nouveau rapport inter-maxillaire défini et enregistré, le laboratoire réalise un wax-up des deux arcades pour rétablir les morphologies dents postérieures et antérieures.


Les mock-ups sont collés, équilibrés et polis de manière à rester en place et permettre une restauration par secteurs. Ils peuvent être retirés, modifiés, re-fixés à volonté au cours des différentes étapes de soins.


Fig. 8a à 8j : Résultat final





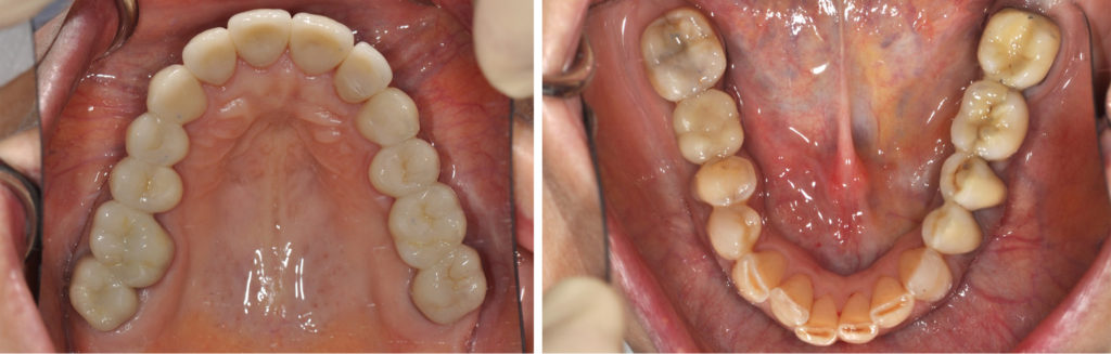
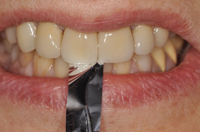
Un soin tout particulier doit être apporté à l’équilibration occlusale. L’équilibre occlusal est assuré, en OIM, par des contacts bilatéraux, simultanés et d’égale intensité sur les dents postérieures de canines à deuxièmes molaires (Fig. 9a et 9b). Les rapports inter-incisifs en OIM doivent laisser échapper une feuille de 9 microns d’épaisseur (Fig. 9c). Les entrées et sorties de cycle masticatoires sont contrôlés par élimination des interférences entre les versants cuspidiens des dents postérieures d’une part, et des faces palatines des incisives maxillaires et les bords libres des incisives mandibulaires d’autre part.


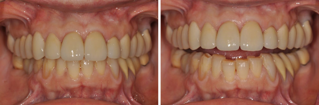
AVANT/APRÈS :




Conclusion :
Le traitement des cas complexes doit se baser sur une approche diagnostique méthodique afin de rendre le traitement plus prévisible et diminuer les risques d’échecs, de rechute ou de récidive. Cela passe par l’évaluation combinée de l’état de santé général du patient, du statut parodontal, de la santé des tissus dentaires, de l’état fonctionnel de l’appareil manducateur et des paramètres esthétiques.
Remerciements :
Chirurgie plastique parodontale et implantaire : Dr. Thierry Degorce, Tours.
Laboratoire de prothèse : Ceram Fixe, St Avertin.
Vous souhaitez en savoir plus sur la gestion multi-displinaire et la thérapeutique globale ?
Le Plan de Traitement Global : Comment le Construire ? Comment le Conduire ?
Lectures conseillées :
• Lussi A, Hellwig E, Gans C, Jaeggi T. Dental Erosion . Oper Dent 2009;34:251-262.
• Zunt SL. Xerostomia/Salivary Gland Hypofunction: Diagnosis and Management. Compendium 2018;39(6), 365-369.
• Auad S, Moynihan P. Diet and Dental Erosion. Quintessence Int 2007; 37:130-133.
• Pulido & coll. The inhibitory effect of MI paste, fluoride and a combinaison of both on the progression of artificial caries-like lesions in enamel. Oper Dent 2008; 33:550-555.
• Tjan AH, Miller GD, The JG. Some Esthetic Factors in a Smile. J Prosthodont 1984;51(1):24-8.
• Kois JC, Michael Cohen (ed). Diagnostically Driven Interdisciplinary Treatment Planning. Quintessence 2008; 189-212.
• Jayne D. A deprogrammer for occlusal analysis and simplified accurate case mounting. J Cosmet Dent. 2006; 21(4), 96-102.



1 commentaire(s)
Jacques NAHON
Le 08 novembre 2018 à 21 h 32 min
Cher confrère, Belle réalisation clinique et conception pertinente du plan de traitement, le cas est bien documenté (il manque les préparations mais ce n'était pas le sujet). Pour ma part je n'aurai pas fait de traitement parodontal, peut-être pour simplifier la réalisation globale, mais je reconnais un beau résultat final du tissu gingival. Bien à vous Jacques Nahon
Guillaume GARDON-MOLLARD
Le 09 novembre 2018 à 11 h 08 min
Bonjour Jacques et merci pour votre commentaire. - L'article aurait mérité quelques précisions concernant les préparations. Vous avez raison. Toutes les dents maxillaires ont été reconstituées au composite et des préparations périphériques pour restaurations céramo-céramiques ont été réalisées. A la mandibule, seules les dents 44, 45 et 47 ont reçu des restaurations directes au composite (type overlay), réalisées à partir du wax-up grâce à des matrices en silicone transparent. - Concernant le traitement parodontal pré-prothétique, il était indiqué et sa réalisation a été discutée avec la patiente qui l'a retenu. Il aurait tout autant été indiqué, dans le secteur mandibulaire gauche mais cela nécessitait de retirer et renouveler le bridge existant. Là, la patiente ne la pas souhaité. Des conseils pour un brossage non traumatique devraient permettre de stabiliser la situation actuelle.