CFAO
La prothèse complète numérique par impression 3D
Publié le 10/05/2023À l’heure de l’implantologie, la prothèse complète était annoncée comme une discipline qui devait disparaître au profit des solutions fixes. La réalité est toute autre : en effet cette étape reste nécessaire dans un certain nombre de situations cliniques comme moyen de temporisation ou alternative à l’implant lorsque celui-ci n’est pas réalisable. Dans un de ses rapports, l’OMS estime que d’ici 2030, les édentés totaux représenteront 30% de la population mondiale.
L’absence complète de dents sur 1 ou les 2 arcades, présente une réelle situation de handicap pour nos patients. Que ce soit au niveau fonctionnel (mastication et phonation) ou au niveau esthétique (propulsion de la mandibule et effondrement de l’étage inférieur de la face, absence de dents visibles), les conséquences entraînent souvent un mal être social profond.
Ces dernières années, la prothèse complète a été modernisée avec l’arrivée des techniques de production par CFAO. De plus, les industriels ont fait évoluer les algorithmes des scanners intra-oraux afin de permettre de scanner les muqueuses et de copier une prothèse existante. Ces techniques innovantes ont donné à la prothèse complète une nouvelle vision des traitements autorisant ainsi la copie des données intéressantes (occlusion, forme des dents, base prothétique) et l’enregistrement des éléments corrigés.
Nous allons, autour d’un cas, montrer les avantages proposés par l’impression 3D.
Situation initiale
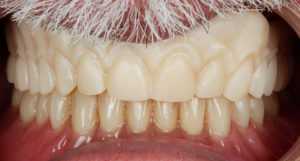
Un patient de 60 ans consulte à la suite des fractures répétées de sa prothèse maxillaire. À l’examen clinique, nous notons que l’occlusion est valide et que la prothèse présente des dents ajustées en antérieur, ce qui crée une fragilité mécanique de la structure. La base est stable et l’adaptation est bonne. Au cours de l’entretien clinique, le patient évoque aussi la longueur de ses dents, trop importante à son goût.

Fig. 01 : situation initiale.

Fig. 02 : prothèse complète maxillaire.
Les modifications à apporter sont minimes pour créer un confort équivalent ainsi qu’une résistance plus importante de la prothèse et modifier l’esthétique en accord avec les souhaits du patient. Nous décidons d’effectuer un comblement de la partie manquante antérieure à l’aide d’une feuille de cire. Cette cire est plaquée sur les surfaces muqueuses et sculptée au niveau de la face vestibulaire.

Fig. 03 : mise en place de la cire pour aménager le volet vestibulaire.
Numérisation et création de la maquette
L’ensemble est ensuite scanné à l’aide d’un scanner intra-oral (3Shape Trios 5). De cette façon, nous n’avons pas besoin de priver le patient de sa prothèse et nous enregistrons en un seul temps l’anatomie, l’occlusion et les rapports intermaxillaires.

Fig. 04 : empreinte optique de la PAC modifiée et de l’arcade antagoniste.
Nous reprenons l’ensemble des éléments sur le logiciel de conception pour affiner le dessin de la future prothèse. Ce projet va être considéré comme un porte-empreinte pour la réalisation d’une empreinte anatomo-fonctionelle et comme une maquette d’occlusion pour valider la pertinence de nos enregistrements numériques. Et ce, dans le but de valider l’esthétique de la future prothèse au niveau de la forme des dents et du soutien des lèvres.

Fig. 05 : prothèse complète et le projet prothétique imprimé.
Lors de notre essayage, la stabilité et l’ajustage de la maquette sont contrôlées en statique et en dynamique. Une vérification de l’intrados est aussi effectuée à l’aide d’un silicone de viscosité light en réalisant les mouvements anatomo-fonctionnels. Quelques surextensions sont corrigées au niveau antérieur (là où nous avons ajouté un peu de cire). La maquette est ainsi validée sans autre correction. Elle est numérisée avec notre scanner intra-oral pour que la prothèse soit finalisée sur le logiciel de conception.

Fig. 06 : essayages et réglages de la maquette imprimée.
Conception et impression de la prothèse
Dans le logiciel, nous commençons par individualiser les dents de la base. Plusieurs options s’offrent à nous : un bloc de l’arcade, les 2 secteurs, l’antérieur et les parties postérieures. Nous allons ensuite affiner les morphologies au niveau esthétique, tout en conservant les rapports d’occlusions qui sont validés.

Fig. 07 : individualisation des dents.
Nous travaillons ensuite la morphologie de la base. Là encore, les volumes sont modelés pour simuler au mieux l’anatomie des racines dentaires, les concavités et la bosse canine.
Nous appliquons ensuite un effet qui permet de reproduire le granité de la gencive. L’ensemble du dessin est réalisé et peut être repris à volonté. Nous pourrions même proposer le rendu au patient avant de valider la conception finale.

Fig. 08 : animation de la fausse gencive.
Une fois la modélisation effectuée, les fichiers sont sauvegardés au format STL, un format de fichier ouvert, d’un côté le fichier pour la base, de l’autres 3 fichiers pour les dents (1 antérieur et 2 postérieurs).

Fig. 09 : fichiers STL des dents et de la base prothétique.
Nous chargeons le fichier 3D de la base sur le logiciel de placement de l’imprimante 3D (Formlabs Preform). Nous déterminons quel sera le type de résine d’impression selon la pièce à imprimer et la teinte associée. Les résines utilisées sont normées en Classe IIa (longue durée) et ont obtenues le marquage CE conformément aux règles concernant les dispositifs médicaux européens.
Nous orientons ensuite l’objet selon les recommandations du fabricant (les dents parallèles à la plateforme d’impression, la base angulée à 80°).

Fig. 10 : orientation des fichiers pour impression 3D.
Le logiciel va autogénérer la base et les supports d’impression. Un contrôle de leurs positions est nécessaire afin de s’assurer qu’ils ne risquent pas de se trouver dans des zones d’intérêt (comme l’intrados ou un point d’occlusion). Ces derniers permettent aux différentes couches de s’imprimer sans déformation et sans erreur. Le logiciel nous informe aussi lorsque des zones sont insuffisamment soutenues.
Tous ces indications rendent le système d’impression fiable et reproductible et garantissent un taux de succès proche des 100%.

Fig. 11 : impression de la base.
Assemblage et photopolymérisation de la prothèse
Une fois les pièces imprimées, elles vont être post-traitées pour être assemblées. Cela se fait en 2 temps.
Nous allons d’abord éliminer les excès de résine non polymérisée lors d’une première étape de lavage des pièces dans de l’alcool isopropylique à 99,9% pendant 10 minutes. Puis nous supprimons les supports et réalisons un deuxième lavage.

Fig. 12 : nettoyage des pièces.
À l’issu de cette étape, nous assemblons les dents à la base en utilisant comme liant de la résine de la base rose (sous forme liquide), que nous polymérisons à l’aide de notre lampe à photopolymériser.

Fig. 13 : prothèse complète assemblée.
Une fois les éléments assemblés, nous passons à la troisième étape du post-traitement : la photopolymérisation de la prothèse à 360° dans l’enceinte de polymérisation. L’immersion dans un bain de glycérine améliore le taux de conversion, selon les recommandations du fabricant. L’énergie dégagée par les LEDs va entraîner une élévation de la température, éléments qui améliorent les propriétés mécaniques du matériau.

Fig. 14 : polymérisation.
La prothèse pourrait juste être polie et mise en bouche mais nous souhaitons animer un peu les dents et la base. Pour cela nous conditionnont les surfaces avec un sablage à l’alumine 50 microns et l’application d’un primer universel (GC multi-primer), puis nous maquillons les surfaces à l’aide d’un produit photopolymérisable (GC Optiglaze).

Fig. 15 : prothèse complète maquillée.
L’essayage
Phase de mise en place de la prothèse : séance au cours de laquelle intrados et occlusion sont controlés. Ces étapes sont assez rapides, l’ensemble des éléments ayant pu être validés lors de l’essayage.

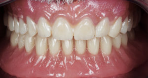
Fig. 16 : essayage de la prothèse.
Le patient revient pour un contrôle à 15 jours, ce qui permet de valider son ressenti vis-à-vis de la nouvelle prothèse et d’effectuer d’éventuelles corrections.

Fig. 17 : contrôle à 15 jours.
Conclusion
La prothèse complète traitée en technique de CFAO, propose aujourd’hui de nombreux avantages pour nos patients. La conservation à l’identique d’éléments et la possibilité de corriger les défauts des anciennes prothèses donne un moyen d’accélérer les traitements et de conserver le confort ainsi que les habitudes de nos patients.
La prothèse se renouvelle grâce aux logiciels de modélisation qui offrent un niveau de personnalisation très accessible et intéressant.
D’autre part, les technologies d’impression 3D qui évoluent de jour en jour ouvrent de nouvelles voies de productions plus rapides et efficientes.
Nous avons aujourd’hui les outils pour développer le futur, à nous maintenant de les utiliser !
Remerciements
L’auteur remercie le laboratoire Digital Labs (La Roche-sur-Yon) pour ses formations sur l’impression 3D et le maniement des logiciels.



0 commentaire(s)