Orthodontie
Réalignement des dents et agénésie : implant ou bridge cantilever ?
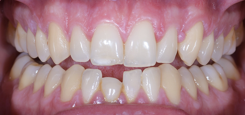
Publié le 27/06/2023Un jeune patient d’une vingtaine d’années consulter pour le réalignement de ses dents et gérer le problème d’une dent de lait et d’une agénésie de la 41. La question est la suivante : implant ou bridge cantilever ?
Le choix du bridge cantilever
Le choix du cantilever dans cette situation, est avant tout financier, mais c’est un choix qui aujourd’hui a fait ses preuves.
En raison des forces divergentes appliquées par les incisives centrales et les canines, l’ajout de plusieurs ailettes de support entraînerait une augmentation des risques d’échec, souvent caractérisés par la fracture d’une des ailettes au niveau de la surface de jonction.
Afin de minimiser ces risques, il est recommandé de coller une seule ailette sur la dent 31.

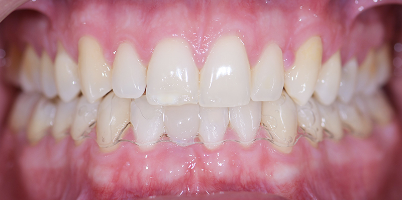
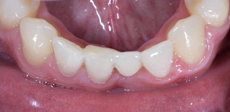
Fig. 01 : situation initiale, vue de la 81.
Plan de traitement :
• Alignement par Invisalign
• Eclaircissement
• Pose d’un bridge cantilever en disilicate de lithium
• Réalignement des bords incisifs

Fig. 02 : extraction de la dent de lait, Bio-Oss® (Geistlich) et membrane.
Une fois l’alignement avec Invisalign et le blanchiment réalisés, la dent de lait est extraite et une xénogreffe avec du Bio-Oss® (Geistlich) est posée ainsi qu’une membrane CopiOs® (ZimVie) sera mise afin de maintenir le Bio-Oss avec un point en croix.
Fig. 03 : sutures avec membrane CopiOs® (ZimVie).
Fig. 04 : dent de lait utilisée comme provisoire.
Le jour de l’extraction, nous utilisons ici la dent de lait en tant que provisoire, avec un remodelage du bord cervical, pour guider la cicatrisation.

Fig. 05 : pose de la dent de lait provisoire à l’aide d’une attelle linguale.

Fig. 06 : situation après cicatrisation.

Fig. 07 : dépose de la dent provisoire à 2 semaines.
La dent provisoire a permis de recréer la forme concave et les papilles de la future dent.
Fig. 08 : post-cicatrisation.

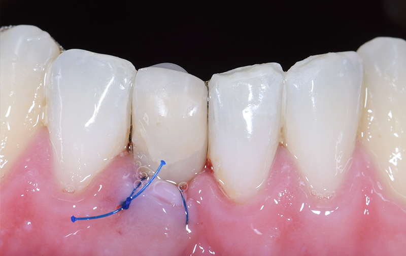
Fig. 09 : préparation de la facette linguale sur la 31.
La préparation de la facette palatine sur la 31 est réalisée, et la teinte finale est choisie.
Attention, nous utiliserons le disilicate de lithium, la surface de collage sera d’un minimum de 16mm2. Nous resterons évidemment sur une taille à minima, qui nous permettra de coller sur de l’émail pour la meilleure adhésion possible.

Fig. 10 : gouttière de contention.
2è étape après la préparation de la dent : une gouttière de contention incluant une dent réalisée en composite, maintiendra le feston gingival.

Fig. 11 : gouttière en place.
Fig. 12 : bridge cantilever avec clé de positionnement.
Le bridge cantilever avec la clé de positionnement assure la stabilité du bridge lors du collage.

Fig. 13 : mise en place de la digue et pose du cantilever.
La digue est mise en place, le cantilever est posé, vient alors l’étape de reconstruction du bord incisif de la 31 avec la technique du composite stratifié.


Fig. 14 : mise en place du 3è crampon.
Le 3è crampon est mis en place pour maintenir la digue vers le bas et ne pas gêner le collage.

Fig. 15 : situation après la dépose du crampon.
Après la mise en place du bridge, on remarque que la gencive saigne légèrement ce qui est dû aux crampons.


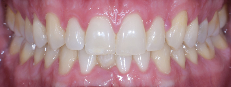
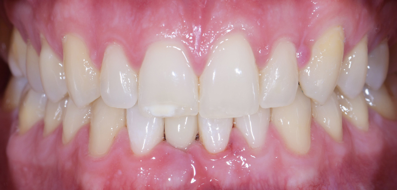
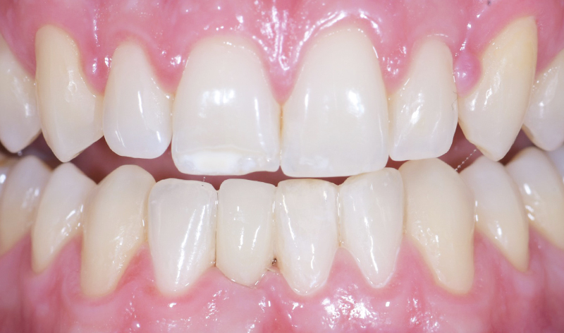
Fig. 16 : situation finale à 2 semaines.
L’aspect esthétique est nettement amélioré. Plusieurs points sont à prendre en compte en amont : la gencive, la situation transitoire pour la maintenir et éviter l’effet « trou noir » entre les dents.

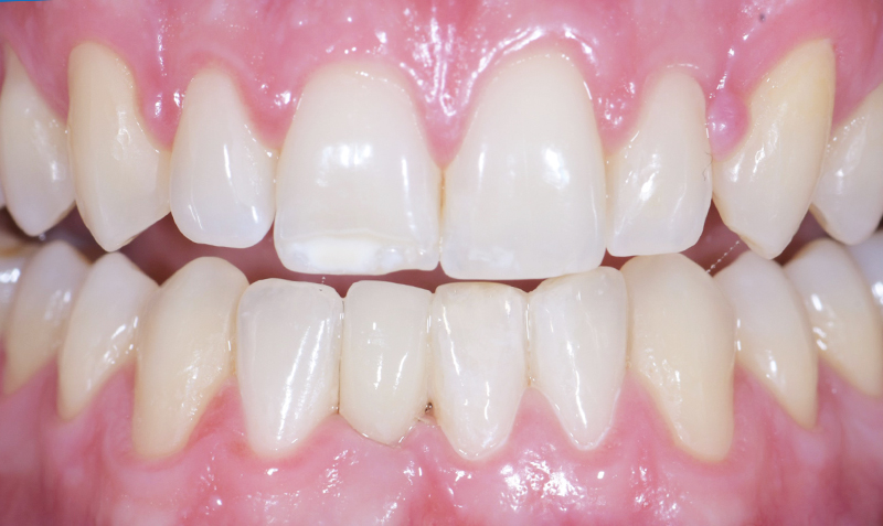
Fig. 17 : situation à 2 semaines, vue occlusale.


Fig. 18 : situation initiale et situation finale.



0 commentaire(s)