CFAO
Smile In A Box
Publié le 16/06/2020Smile In A Box : un nouveau concept de guides chirurgicaux et de restaurations prothétiques pour la mise en charge immédiate.
Sans aucun doute, la chirurgie guidée a atteint sa maturité ; son efficacité et ses bénéfices ne sont plus à démontrer. De même, les flux digitaux et la planification implantaire selon un projet prothétique virtuel sont également devenus des standards.
Dans les restaurations unitaires ou de faible étendue, le repositionnement de la prothèse provisoire pour la mise en esthétique immédiate est relativement facile grâce au support offert par les dents bordant l’édentement. En revanche, en prothèse complète, de surcroît avec des extractions simultanées, la perte des repères initiaux rend aléatoire d’une part le transfert des données du projet implantaire numérique et d’autre part la mise en place de la restauration immédiate.

Fig. 01 : création d’un modèle de travail d’après les données de la planification selon un protocole traditionnel en se servant du guide chirurgical comme outil de repositionnement des répliques d’implants.
De nombreuses solutions ont été testées avec plus ou moins de réussite, comme la réalisation de modèle de travail en positionnant les répliques d’implants grâce au guide chirurgical pour réaliser la prothèse en amont de l’intervention (fig. 01) puis l’utilisation de gouttière pour repositionner sur l’arcade la restauration dès la fin de l’intervention (fig. 02) pour éviter une empreinte sur des tissus fragilisés et priver le patient de dents pour une voire deux journées.

Fig. 02 : gouttière de repositionnement pour transférer la prothèse transitoire de l’articulateur à l’arcade du patient.
Aujourd’hui, Straumann Group propose une nouvelle génération de guides chirurgicaux permettant, dès la fin de l’intervention, un repositionnement fiable et reproductible de la prothèse immédiate réalisée en amont de la chirurgie selon les données de la planification implantaire. À cette fin, le groupe a créé un flux de travail digital (fig. 03) en s’appuyant sur ses différentes branches :
• Dental Wings avec les logiciels de planification implantaire coDiagnostiX et de CFAO DWOS, le flux digital total et les outils d’acquisition digitaux (VirtuoVivo en cabinet et 7series au laboratoire),
• Straumann et Neodent avec des implants conçus pour la mise en charge immédiate et des ancillaires de chirurgie guidée,
• Createch pour la CFAO des guides chirurgicaux et des restaurations immédiates,
• Et le service Smile In A Box, un flux de travail digital ouvert dans lequel l’utilisateur (prothésiste, prosthodontiste ou chirurgien) pourra exploiter tout ou partie de la chaine de travail.

Fig. 03 : le flux digital Straumann de l’acquisition des données numériques à la production de la restauration transitoire.
Même si le concept est ouvert, l’utilisation de ces nouveaux guides repose :
• D’une part, sur la version 10 de coDiagnostiX, actuellement en cours de déploiement. Au cabinet, nous avons eu la chance d’être sélectionnés parmi les utilisateurs pour tester le logiciel depuis juillet 2019 et faire bénéficier à nos patients de ce nouveau concept.
• D’autre part, sur le service Smile In A Box « accessible à n’importe quelle étape de votre flux de travail. Que vous choisissiez des modules spécifiques ou le service complet, Smile In A Box vous donne la tranquillité d’esprit de savoir que tout ce dont vous aurez besoin le jour de l’intervention chirurgicale sera à votre disposition dans une boîte et prêt à l’emploi. » – Citation de Straumann (Fig. 04).

Fig. 04 : les différentes options du service Smile In A Box.
Avec des approches différentes, deux cas vont illustrer l’utilisation clinique de ce nouveau type de guide et de ce service, en collaboration étroite avec mon prothésiste, Johan Giraud du laboratoire de prothèse éponyme, à Chambéry.
Premier cas clinique
Caractéristiques :
• Mandibule,
• Implantation immédiate à la mandibule après extractions, chirurgie à lambeau et régularisation osseuse,
• Flux digital partiel,
• Utilisation partielle du service Smile In A Box (fig. 05),
• Mise en charge immédiate.

Fig. 05 : choix des options du service Smile In A Box pour le cas 1.
Anamnèse :
Femme, 61 ans, sans antécédents médicaux, non fumeuse.
Édentement complet maxillaire avec prothèse provisoire ancienne inadaptée.
Édentement subtotal mandibulaire avec prothèse squelettique non supportée.

Fig. 06 et 07 : examens clinique et radiologique du cas 1.
Étude préimplantaire :
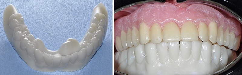
De façon conventionnelle, en collaboration avec mon laboratoire habituel suscité, elle est menée avec des empreintes primaires puis secondaires, une prise de RIM sur des cires d’occlusion et des montages directeurs. Le mandibulaire est numérisé et imprimé en résine « try-in » pour fiabiliser l’essayage.

Fig. 08 et 09 : la prothèse diagnostique imprimée selon le montage directeur. Essayage de celle-ci pour validation du projet thérapeutique.
Le scanner de laboratoire 7series (Dental Wings) permettra également l’acquisition des empreintes secondaires au format STL.
Ce sera la porte d’entrée du flux numérique dans ce premier cas.
Planification implantaire :
Les fichiers STL issus de l’étude préimplantaire et DICOM en provenance de la CBCT sont implémentés et fusionnés dans le logiciel de planification implantaire coDiagnostiX et donnent naissance à un modèle 3D complexe empilant toutes les données : os, dents, tissus mous, prothèse diagnostique.

Fig. 10 : l’interface plutôt classique de coDiagnostiX 10 avec les différents volets de visualisation. En bas à gauche, la fenêtre de la reconstruction 3D montre l’os (en beige) et la segmentation des dents (en rouge) issus des fichiers DICOM de la CBCT.

Fig. 11 : mise en évidence des alvéoles.
Cette segmentation par seuillage permet d’extraire virtuellement les dents et mettre en évidence les alvéoles.

Fig. 12, 13 et 14 : le rendu surfacique de la numérisation au format STL de l’empreinte secondaire, la prothèse diagnostique et l’antagoniste.
Sur les données DICOM, sont empilés le rendu surfacique de la numérisation au format STL de l’empreinte secondaire, la prothèse diagnostique et l’antagoniste. Ce dernier est la numérisation du montage directeur polymérisé en prothèse complète conventionnelle.
Fig. 15.
Les implants (Neodent GM Helix Acqua, Straumann Group) et les piliers (Mini GM) sont planifiés selon la prothèse diagnostique validée à l’essayage (fig. 15).



Fig. 16, 17 et 18.
Le modèle virtuel de travail est débarrassé de tout le superflu pour déterminer virtuellement le plan de résection osseuse matérialisé en rouge (fig. 16). La régularisation est validée implant par implant et dans tous les sens de l’espace (fig. 17) avant d’être virtuellement soustraite de la crête (fig. 18).

Fig. 19 : premier guide qui reproduit l’ostéotomie.
Un premier guide claveté par 3 pins est dessiné à reproduire sur la mandibule de la patiente l’ostéotomie déterminée numériquement précédemment.

Fig. 20 : création d’un second guide.
Un second guide est créé, empilé sur le précédent pour réaliser le forage et la pose des implants.

Fig. 21 : clonage de la prothèse diagnostique.
La restauration transitoire empilée sur le guide de résection est designée par clonage de la prothèse diagnostique.
Toute la subtilité du concept réside dans le fait que le guide de réduction solidement claveté sert de repère orthonormé à la restauration transitoire pour permettre son repositionnement sans aucune perturbation.

Fig. 22 : forage des emplacements des pins.
Enfin, afin de s’assurer du bon positionnement du guide de résection, un dernier guide permet le forage des emplacements des pins en fonction des structures initiales.
Cette planification complexe nécessite une collaboration étroite entre les différents acteurs. Ainsi, le module propriétaire caseXchange permet le partage de la planification et des différentes données entre les différents protagonistes : prothésiste, prosthodontiste, chirurgien et service Smile In A Box.
Intervention :

Fig. 23 : les différents guides et la prothèse transitoire immédiate produits par Createch sont préparées à disposition du chirurgien.

Fig. 24 et 25 : le guide de forage des emplacements des clavettes s’appuyant sur les structures initiales est utilisé en premier avec un foret spécifique.

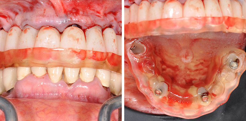
Fig. 26 : les dents sont extraites, un large lambeau est ouvert puis le guide de résection osseuse est inséré et claveté dans les emplacements précédemment forés.

Fig. 27 : la résection osseuse est réalisée en respectant le plan du guide en accord avec la planification ; dans ce cas par piezo-chirurgie.

Fig. 28 : le guide de forage et d’insertion des implants est empilé sur le guide de résection laissé en place.

Fig. 29 : toujours sans toucher au guide résection, une fois les implants mis en place, les piliers prothétiques sont vissés.

Fig. 30 : enfin, la restauration transitoire est empilée sur le guide de résection pour être solidarisée en bouche aux gaines provisoires vissées sur les piliers.
(NDLA : l’intervention est réalisée sous AG selon la volonté de la patiente ; le temps, en particuliers pour les photos, est compté par les obligations de l’anesthésie ; sans s’en apercevoir la restauration a bougé lors de la prise de la photo et ne reflète pas la réalité de la parfaite adaptation des pièces).

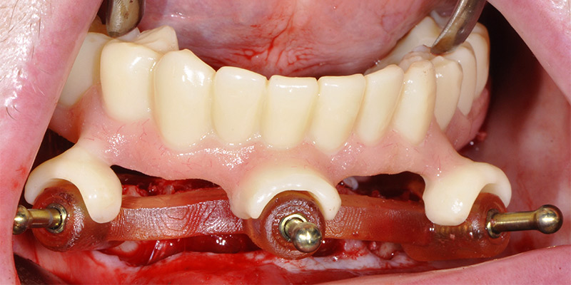
Fig. 31 et 32 : l’assemblage entre la restauration PMMA et les gaines en titane est réalisé avec une colle composite.

Fig. 33 et 34 : la finition est immédiatement et rapidement réalisée au fauteuil pour une mise en place de la prothèse transitoire dès la fin de l’intervention.
Second cas clinique
Caractéristiques :
• Mandibule,
• Implantation immédiate à la mandibule après extractions, chirurgie sans lambeau,
• Flux digital total,
• Utilisation partielle du service Smile In A Box (fig. 35),
• Mise en charge immédiate.

Fig. 35 : choix des options du service Smile In A Box pour le cas 2.
Anamnèse :
Femme 55 ans sans antécédents médicaux, fumeuse.
Souhaite une réhabilitation rapide et un vrai changement dans son sourire. L’édentement complet est évoqué par la patiente elle-même. Cette solution est retenue, après lui avoir proposé une alternative par prothèse fixée conventionnelle associée à un traitement implantaire sectoriel.

Fig. 36 et 37 : présentation du second cas.
Étude préimplantaire :
L’arcade maxillaire traitée en premier a bénéficié d’un protocole DSD. La mandibule n’a d’autres challenges que de s’adapter au maxillaire idéalement reconstruit et d’offrir un sourire régulier souhaité par la patiente.
Une empreinte numérique avec la caméra VirtuoVivo (Dentals Wings) est réalisée et l’étude préimplantaire sera réalisée simultanément à la planification.

Fig. 38 : empreinte numérique réalisée avec la caméra VirtuoVivo.
Planification :

Fig. 39 et 40 : les différentes vues du second cas.
Nous retrouvons maintenant comme précédemment les différentes vues du cas n°2 : l’os (en vert) et les dents segmentées (en rouge) et le rendu surfacique de l’arcade à l’état initial (en beige). À noter que bien que l’empreinte soit en couleur au format ply (fig. 38), les prothésistes convertissent le fichier en monochrome.

Fig. 41 et 42 : un masque gingival (en rose), est créé par soustraction des dents sur le rendu surfacique puis les dents segmentées (en rouge) sont virtuellement extraites et remplacées par un wax-up numérique en accord avec le maxillaire déjà traité.

Fig. 43 : les implants (Neodent GM Helix Acqua, Straumann Group) et les piliers (Mini GM) sont planifiés selon le projet numérique virtuel.

Fig. 44 et 45 : un plan de réduction osseuse est arbitrairement déterminé pour créer un guide de résection sur le STL du masque gingival.

Fig. 46 et 47 : l’objectif du guide dans ce deuxième cas qui ne nécessite pas de réduction osseuse est simplement de servir de support et de repère à la mise en place du guide implantaire et de la prothèse transitoire.

Fig. 48 : une fois encore, un guide de forage est conçu pour matérialiser les emplacements des pins en fonction des structures initiales.
Intervention :

Fig. 49 : pour montrer la précision des ajustages, les guides sont imprimés par le laboratoire Giraud tandis que la restauration provisoire est conçue et usinés par Createch.

Fig. 50 : comme précédemment, le guide de forage des emplacements des clavettes s’appuyant sur les structures initiales est utilisé en premier.

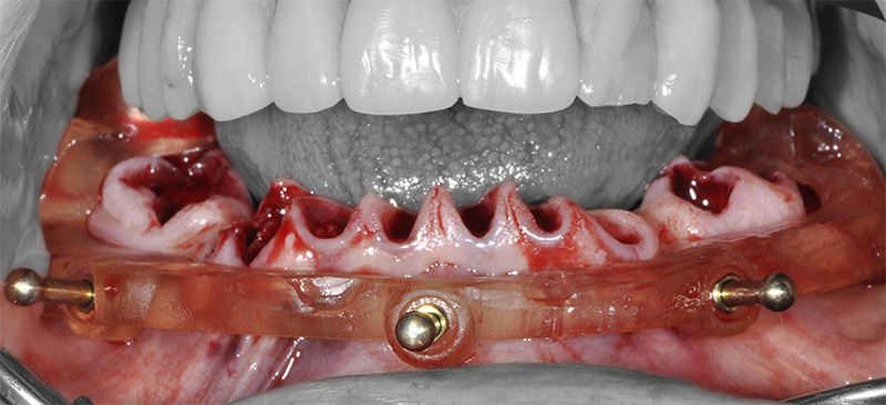
Fig. 51 : les dents sont extraites sans lambeau par fractionnement puis le guide de résection osseuse est inséré et claveté dans les emplacements précédemment forés.

Fig. 52 : le guide de forage et de mise en place des implants est empilé sur le guide de résection osseuse.

Fig. 53 : vissage des piliers prothétiques dans les implants.

Fig. 54 : transvissage des gaines temporaires sur les piliers.
Les piliers prothétiques sont immédiatement vissés dans les implants sans déposer le guide de résection osseuse ; des gaines temporaires en titane sont transvissées sur les piliers et la restauration transitoire empilée sur le guide de résection, pour être solidarisée en bouche avec une colle composite. La finition très simple est réalisée au fauteuil et le patient quitte le cabinet dès la fin de la chirurgie avec sa restauration provisoire.

Fig. 55 et 56 : restauration provisoire terminée.
Conclusion :
Jamais auparavant, la notion de mise en charge immédiate n’a été aussi bien illustrée. La satisfaction du patient est très élevée en repartant dès la fin de l’intervention avec une restauration en place.
La séance tant redoutée par les praticiens de fin de journée ou du lendemain est évitée. Le stress lié aux retouches et à la réintervention sur des tissus meurtris et inflammés, est oublié.
À ce jour, nous travaillons encore sur des améliorations de design, la possibilité de verrouiller mécaniquement les guides les uns sur les autres, les matériaux de restaurations pour rendre ce concept déjà abouti encore plus performant.



0 commentaire(s)