Prothèse et esthétique
L'usure : analyse esthétique et augmentation de la dimension verticale
Publié le 31/01/2023Une explication clinique du traitement de l’usure par Esthet Practical, formations pratiques en dentisterie esthétique à Strasbourg. Dr Charles Toledano – Dr Olivier Etienne.




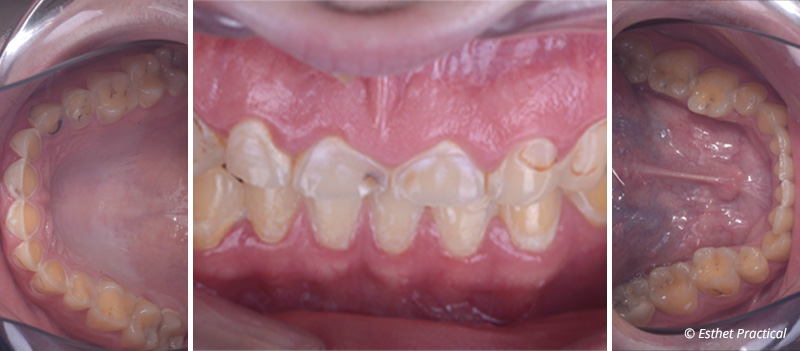
Fig. 01 : situation initiale.
Ce jeune patient consulte pour l’aspect usé de ses dents.
Il consomme chaque jour :
• 1L de soda
• 2 verres de jus d’orange
• 1 canette de boisson énergisante
Il se plaint par ailleurs de reflux gastro-œsophagiens, pense serrer les dents et ressent des contractures des mâchoires au réveil. L’étiologie érosive et attritive de l’usure semble donc évidente dans cette situation. L’observation du visage montre des lèvres pincées et un sourire récessif.
Le plan de traitement va consister à surélever la dimension verticale dans le but de créer un espace disponible à la réalisation de restaurations en céramique collées tout en préservant au maximum l’émail résiduel.



Fig. 02 : butée de surélévation à plan incliné oblique.
Une butée de surélévation à plan incliné oblique (composite bleu) est réalisée en palatin des 2 incisives centrales selon le concept du Jig de Lucia. Le but est de supprimer le guidage dentaire, de créer un recul mandibulaire, une fermeture dans l’axe charnière, de tester le volume à restaurer en palatin, de déterminer si un rallongement des incisives mandibulaires est aussi nécessaire et de contrôler la béance ainsi créée pour la restauration des 2 arcades. Cette simulation de l’augmentation de la dimension verticale permet enfin de vérifier son impact esthétique sur le visage.
On cherchera un point de contact unique centré entre les 2 incisives ou un point de contact équivalent sur la face palatine de chaque incisive centrale, validé par le marquage d’un papier d’occlusion fin.
Cette butée peut être complétée par un rallongement incisal (composite blanc) permettant de vérifier la longueur des bords incisifs par rapport à la courbure de la lèvre inférieure et de guider plus objectivement le design du futur sourire.
Fig. 03 : les arcades sont scannées et l’occlusion est enregistrée Jig en place.
En cas d’empreintes physiques, il sera nécessaire d’injecter un silicone d’occlusion dans la béance ainsi créée. Un arc facial et un enregistrement des lignes du visage complètent idéalement l’enregistrement de la situation initiale.
Fig. 04 : analyse esthétique avec Smilecloud.
Un smile design est envoyé au prothésiste pour lui permettre de modéliser plus précisément les futures morphologies dentaires à la nouvelle hauteur.
Il dispose ainsi d’un bilan photographique, des empreintes des arcades, de la nouvelle occlusion enregistrée et de l’ébauche du projet esthétique pour réaliser son wax-up.
Fig. 05 : les caries liées à la consommation excessive de boissons sucrées sont traitées préalablement par des composites directs.
Fig. 06 : un wax-up numérique est réalisé par le prothésiste en laissant des surfaces d’appui non waxées pour servir de plages de butée lors de la réalisation des masques en résine.
Fig. 07 : impression des wax-up et des clés en silicone.
Les modèles waxés sont imprimés et des clés en silicone rigides sont moulées. La réalisation des masques en résine sera détaillée lors d’une prochaine publication.
Fig. 08 : masque maxillaire en résine bis acrylique Luxacrown – DMG (distribuée par PRED).
Fig. 09 : masque mandibulaire en résine bis acrylique Luxacrown – DMG (distribuée par PRED).

Fig. 10 : observation des modifications du visage et du sourire à la suite de la mise en place de ces masques en résine surélevant la dimension verticale et validation par le patient.
Une amélioration du volume labial est déjà visible à ce stade.


Fig. 11 : céramiques finales.
Situation finale après collages des overlays, veneerlays et facettes cavaliers en disilicate de lithium (EMax-Ivoclar-Vivadent)
On notera une adéquation correcte entre le projet esthétique et le résultat final.
Cet article vous est proposé par Esthet Practical.
Prochaine session de formation « Traitement esthétique postérieur » les 30 et 31 mars 2023. Plus d’informations sur : www.est-p.fr
Esthet Practical propose 2 jours de cours et travaux pratiques sur le traitement esthétique postérieur à Esthet Practical – Strasbourg avec les Drs Charles Toledano et Olivier Etienne. Inscrivez-vous dès maintenant !
Co-fondateur d’Esthet Practical
Docteur en Chirurgie Dentaire
Attaché Hospitalo-Universitaire
Chargé d’Enseignement Universitaire
Coordinateur du DU d’Esthétique du Sourire
CES de Biomatériaux (Strasbourg), CES de Prothèse Fixée (Nancy), CES d‘Odontologie Conservatrice – Endodontie (Nancy)



0 commentaire(s)