Orthodontie
Utilisation des aligneurs dans la pratique quotidienne : exemple d'un cas simple
Publié le 10/09/2019INTRODUCTION
De nombreuses compagnies proposent aujourd’hui des systèmes d’aligneurs qui permettent de réaliser des traitements d’orthodontie à nos patients. Cette offre s’est maintenant étendue aux omnipraticiens avec des systèmes comme Invisalign Go, proposé par Align technology.
Utilisés en pré-prothétique pour repositionner les dents avant de les préparer, les aligneurs permettent de conserver plus de tissus dentaires et ainsi de s’inscrire dans une approche conservatrice et économe en tissus sains.
Au niveau du gradient thérapeutique, les traitements d’alignement occupent la première place offrant aux patients la possibilité de réaliser des composites plutôt que des facettes, ou des facettes plutôt que des couronnes.

On voit bien ici que les traitements d’orthodontie permettent de préserver au maximum les structures dentaires de nos patients. Il nous revient de choisir des plans de traitement raisonnés, en accord avec l’état de santé du patient, sa santé bucco-dentaire et les multiples options thérapeutiques (soins conservateurs, prothèse, parodontologie…).
Quels choix faire dans nos thérapeutiques pour proposer à nos patients, les traitements, les plus pérennes tout en étant conservateurs ?
Illustration par un cas clinique :
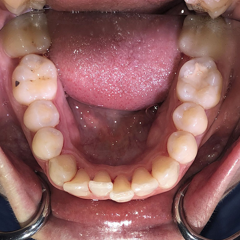
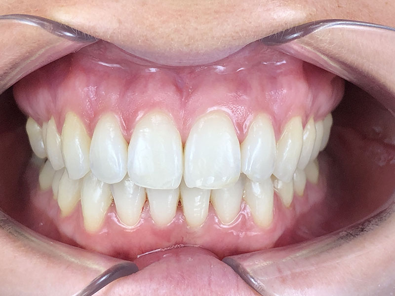
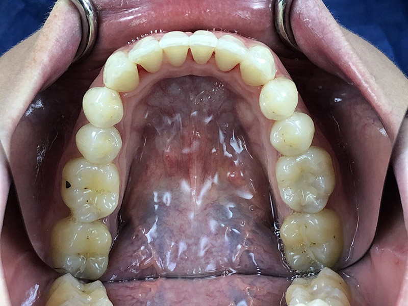
Patiente de 34 ans venue au cabinet pour une réhabilitation de son sourire suite à une récidive de son traitement d’orthodontie survenue pendant son adolescence, à cause du non-remplacement de sa contention perdue. Elle avait eu dans le passé une proposition de traitement par facettes pour réaliser l’alignement qu’elle avait refusé, ne voulant pas que l’on touche à ses dents.
À l’examen clinique, la patiente est en classe I d’Angle molaire bilatérale, indication idéale pour les traitements d’alignement simples que peuvent réaliser les omnipraticiens formés à cette thérapeutique.
Aucune autre pathologie ni problème dentaire ne furent relevés, en dehors d’un nettoyage préalable.




Un premier Clincheck fut réalisé, permettant de voir l’alignement souhaité et repositionner les dents selon le désir de la patiente.

On peut ici constater :
• Une série de 14 aligneurs
• Une série de réduction inter proximale maxillaire (RIP) pour un total de 1,5mm réparti entre les 15 et 25
• Une série de réduction inter proximale mandibulaire (RIP) pour un total de 0,9mm réparti entre les 15 et 25
• Des taquets répartis sur toutes les dents maxillaires pour optimiser les mouvements voulus
• Des taquets sur quelques dents maxillaires
Durée du traitement : 28 semaines, avec un changement des aligneurs toutes les 2 semaines.


Au bout du port de celles-ci, nous avons constaté un défaut dans le positionnement des dents, probablement dû à la difficulté de certains mouvements de tipping et un manque d’alignement des milieux.



Il a été décidé de réaliser une série de finitions supplémentaires pour parfaire le résultat.

On peut constater ici :
• Une série de 8 aligneurs supplémentaires à changer toutes les semaines cette fois-ci
• Un ajout de 2 RIP au maxillaire pour le décalage des milieux
• Un ajout de 3 RIP à la mandibule pour le décalage des milieux
• Un nombre de taquets très inférieur au premier Clincheck, les mouvements à faire étant bien moins importants au final






La contention finale se fera par gouttières amovibles nocturnes bimaxillaires.
CONCLUSION
Comme on peut le constater, la durée du traitement n’aura pas excédé 10 mois au final, avec deux séries de gouttières, et un stripping relativement peu invasif pour que la patiente soit satisfaite du résultat. En ajoutant un blanchiment en ambulatoire, les dents ont retrouvé un aspect éclatant.
En conclusion, les clés du succès d’un traitement par aligneurs sont les suivantes :
• Sélection initiale du cas : patient en classe 1 molaire et encombrement/espacement réduit.
• Élaboration rigoureuse du plan de traitement au moment de l’élaboration du Clincheck, qui doit rester dans les mains du praticien
• Mise en place précise le jour de la pose des aligneurs (stripping et pose des taquets)
• Suivi du traitement lors des rendez-vous de contrôle
• Port et réalisation stricte de la contention

Edouard Negre
• Spécialiste en chirurgie dentaire à Nice
• Diplômé de l’université de Nice en 2002
• Titulaire de plusieurs certificats de degré supérieur, notamment en dentisterie esthétique
• Inscrit à l’ordre du Conseil des dentistes généraux de Londres (General Dentist Council of London) depuis 2014
Ce cas est proposé par Invisalign.
![]()



0 commentaire(s)