Les défauts primaires d’éruption : un casse-tête diagnostique et thérapeutique
Publié le 28 Avril 2021Introduction
Les Défauts Primaires d’Éruption (DPE) correspondent à l’échec partiel ou total d’éruption d’une ou plusieurs dents, sans obstacle mécanique(1). Ils résultent d’une anomalie des processus d’éruption qui peut toucher les dents temporaires et/ou les dents permanentes. Les molaires sont les dents majoritairement touchées par cette affection. Selon le nombre d’organes dentaires touchés et la profondeur des inclusions, l’examen clinique conduit très souvent au diagnostic d’infraclusions postérieures plus ou moins sévères. Le nombre de dents et de quadrants touchés varie avec une prédominance des formes bilatérales(1).
L’objectif de cet article est de présenter les principaux éléments diagnostiques et thérapeutiques des DPE, en étayant ces propos cliniques de quelques notions sur les mécanismes étiopathogéniques actuellement connus.
Diagnostic clinique et radiologique
Dans les formes non-syndromiques, le diagnostic de DPE peut être affirmé si les critères suivants sont réunis :
• La dent concernée n’a pas fait son éruption au moins 2 ans après l’âge physiologique,
• Au moins une molaire affectée,
• Atteinte d’une ou plusieurs prémolaires dans 68,6% des cas(1),
• Les dents postérieures à la première dent affectée sont également concernées(2),
• L’examen CBCT ne révèle pas d’obstacle mécanique à l’éruption.
La présence de plage d’ankylose n’exclut pas le diagnostic de DPE. En effet, il semblerait que certaines des dents atteintes évoluent vers l’ankylose, et ceci sans être consécutif à une prise en charge par traction chirurgico-orthodontique.
Les formes légères non-syndromiques sont quant à elles plus difficiles à diagnostiquer, les infraclusions de moins d’un millimètre affectant une seule dent pouvant passer inaperçues et leur découverte être tardive. En cas de doute, seule l’analyse moléculaire à partir d’un échantillon d’ADN peut permettre d’affirmer le diagnostic de DPE.
Dans les atteintes sévères, des angulations radiculaires au niveau du tiers apical sont observées sur les molaires mandibulaires profondément incluses(1). Le chemin d’éruption intra-osseux est visible radiologiquement. Des résorptions radiculaires peuvent être associées, jusqu’à présent elles ont été décrites uniquement chez l’adulte(3, 4).
Le diagnostic différentiel avec l’ankylose résultant d’un traumatisme, d’une pathologie endocrinienne ou l’infraclusion latérale d’origine fonctionnelle doit être réalisé.
Les ankyloses des molaires temporaires sont fréquentes et doivent faire l’objet d’un suivi rigoureux afin de s’assurer de leur caractère isolé(5,6). En effet, l’ankylose des molaires temporaires peut faire partie d’un tableau clinique de DPE et constituer un des premiers signes d’appel des DPE. Le praticien doit alors être attentif et suivre l’évolution des dents permanentes au risque que la situation se dégrade (Fig. 01).

Fig. 01 : radiographies panoramiques chez un enfant présentant un défaut primaire d’éruption à 7 ans (A) et 9 ans (B).
Aspects moléculaires
Dans certaines formes non-syndromiques, des mutations des gènes PTHR1 ou KMT2C ont été mises en cause dans l’étiopathogénie des DPE(1,7). Le diagnostic moléculaire n’est pas réalisé en pratique courante, cependant des travaux de recherche clinique sont en cours notamment au sein du réseau O-Rares permettant une analyse génétique à partir d’échantillons d’ADN extrait de la salive des patients. Cette analyse présente plusieurs intérêts. Elle permet au patient de connaître l’étiologie de sa pathologie, son évolution et son mode de transmission. En effet la transmission se fait essentiellement selon le mode autosomique dominant, le risque de transmission à la descendance est donc élevé(1). L’objectif est alors de suivre régulièrement ces patients et leurs familles afin de les prendre en charge précocement.
Prise en charge thérapeutique
La variabilité phénotypique complique le diagnostic et rend difficile toute systématisation de la prise en charge. Actuellement, il n’existe aucun consensus quant à leur traitement. Les DPE sont essentiellement suivis par les spécialistes en Orthopédie Dento-Faciale (ODF) en collaboration avec les chirurgiens-dentistes, les chirurgiens oraux voire les chirurgiens maxillo-faciaux. Le vaste panel de thérapeutiques envisagées (traction chirurgico-orthodontique, corticotomie segmentaire, avulsion, prothèse en over-denture, décoronation…) et les faibles taux de satisfaction soulignent les difficultés rencontrées par les praticiens.
Parmi les traitements envisagés, celui qui donne le plus satisfaction aux praticiens est l’avulsion(4), thérapeutique radicale mais qui implique généralement une réhabilitation prothétique complexe dans un second temps.
En aucun cas le diagnostic génétique ne conditionne la prise en charge thérapeutique. En effet, dans le cas de DPE liés à une mutation du gène PTHR1, les tentatives de traction chirurgico-orthodontiques se soldent souvent par un échec(4), mais pas de façon systématique. Les principales difficultés sont les effets parasites sur les autres dents et l’ankylose de la dent tractée.
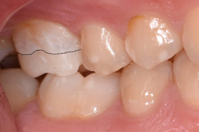
Les atteintes légères sont les plus simples à prendre en charge. L’éruption partielle de ces dents permet un accès favorable pour la réalisation de restaurations, notamment collées (Fig. 02), réhabilitant la fonction masticatoire et selon les cas l’esthétique du sourire.

Fig. 02 : collage d’un overlay sur 16 chez un patient atteint de DPE. Tracé du niveau initial des cuspides vestibulaires.
Conclusion
L’approche diagnostique et thérapeutique des DPE est complexe. Les examens complémentaires, radiologiques (imagerie tridimensionnelle) et moléculaires, sont les garants du diagnostic positif de DPE. Cette démarche diagnostique, en plus d’aider à la prise en charge du patient, va également permettre d’améliorer le suivi de sa descendance dans le cadre de mutations génétiques potentiellement transmissibles. La prise en charge se doit d’être individualisée, multidisciplinaire, et envisagée avec un suivi à long terme. Aucun consensus n’existe actuellement. La variabilité des tableaux cliniques et de la sévérité des atteintes n’autorise pas de systématisation des prises en charge. Toute proposition thérapeutique envisagée se fera avec tact et mesure, après discussion et en accord avec le/la patient(e), et sera réévaluée pour optimiser le pronostic à long-terme.
Cet article vous est proposé par Colgate.
Références bibliographiques
(1) M. Hanisc, L. Hanisch, J. Kleinheinz, S. Jung – Primary failure of eruption (PFE): a systematic review.
Head Face Med. 2018 Mar 15;14(1):5.
(2) S.-A. Frazier-Bowers, K.-E. Koehler, J.-L. Ackerman, W.-R. Proffit – Primary failure of eruption: Further characterization of a rare eruption disorder.
Am J Orthod Dentofacial Orthop. 2007;131:578.
(3) U. Aruna, P.-R. Annamalai, S. Nayar, S. Bhuminathan – Primary failure of eruption- a case report with cone beam computerized tomographic imaging.
J Clin Diagn Res. 2014 Apr;8(4):ZD14-6.
(4) M. Strub, E. Kramer, M.-C. Manière, D. Wagner – Primary failure of eruption: a French prospective survey among the orthodontists from the Grand Est and Bourgogne-Franche-Comté regions.
Orthod Fr. 2019 Jun;90(2):149-159.
(5) L.-D. Tieu, S.-L. Walker, M.-P. Major, C. Flores-Mir – Management of ankylosed primary molars with premolar successors: a systematic review.
J Am Dent Assoc. 2013 Jun;144(6):602-11.
(6) A. Arhakis, Boutiou E. – Etiology, Diagnosis, Consequences and Treatment of Infraoccluded Primary Molars. Open Dent J. 2016 Dec 30;10:714-719.
(7) A.-A.Assiry, A.-M. Albalawi, M.-S. Zafar, S.-D. Khan, A. Ullah, A. Almatrafi, K. Ramzan, S. Basit – KMT2C, a histone methyltransferase, is mutated in a family segregating non-syndromic primary failure of tooth eruption.
Sci Rep. 2019 Nov 11;9(1):16469.



0 commentaire(s)