Les lésions de la muqueuse orale à potentiel malin
Publié le 18 Janvier 2022Introduction
Les lésions de la muqueuse orale à potentiel malin sont cliniquement diverses et hétérogènes. Les plus fréquentes sont la leucoplasie, le lichen buccal et les lésions lichénoïdes.

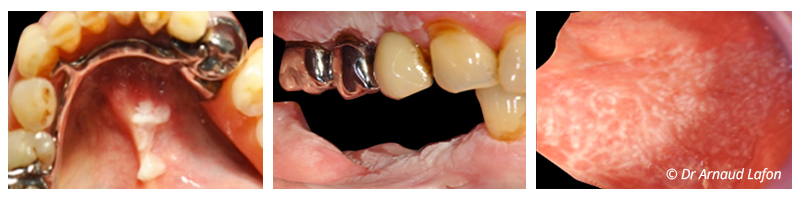
Fig. 01 : les lésions de la muqueuse orale à potentiel malin les plus fréquentes. Dans l’ordre de gauche à droite : leucoplasie orale, lésions lichénoïdes buccales, lichen buccal.
Dans environ 8% des cas, ces lésions se transforment inopportunément en tumeur maligne.
Les autres facteurs de risque sont la dysplasie de haut grade qui ne peut être affirmée que sur une biopsie des lésions de la muqueuse orale à potentiel malin, le genre féminin, l’âge avancé du patient, le site anatomique et la taille de la lésion ou encore certaines maladies héréditaires sous-jacentes rarissimes.
Néanmoins, ces paramètres restent très imparfaits pour prédire le risque, ce qui justifie que nous devons œuvrer collectivement pour le développement de biomarqueurs.

Fig. 02 : tumeur maligne.
En partenariat avec le Centre de Recherche en Cancérologie de Lyon (CRCL), une enquête au sein du réseau de Recherche Clinique en Odontologie Libérale (ReCOL) a été initiée en juin 2021 pour dresser un état des lieux et chercher à définir la place du chirurgien-dentiste notamment de la prise en charge de ces lésions.
État des lieux
Les freins au diagnostic et au suivi des patients présentant des lésions de la muqueuse orale à potentiel malin semblent être principalement un manque de connaissances sur le sujet, le sentiment de n’être pas légitime et de se situer à la croisée des spécialités.

Fig. 03 : Enquête sur les freins pour diagnostiquer des patients présentant des lésions de la muqueuse orale à potentiel malin.
95,5% des répondants estiment qu’il y a besoin de standardiser les recommandations de prise en charge des patients présentant de telles lésions.
Plus de deux tiers d’entre eux (72%) sont partants pour participer à des projets de recherche sur le sujet.
Pour rebondir, le CRCL et ReCOL lancent un programme d’étude dont l’objectif est de constituer une collection clinico-biologique et d’apporter une contribution au développement d’outils digitaux pour le suivi.
C’est tous ensemble que nous pourrons relever le défi de la prévention du cancer de la cavité orale, et nous invitons toutes celles et ceux qui souhaiteraient s’associer à ce projet et qui ne sont pas encore membres du réseau ReCOL à nous rejoindre en se connectant sur le site recol.fr.
Cet article vous est proposé par ReCOL
Référence bibliographique
Warnakulasuriya S., Kujan O., Aguirre‐Urizar JM., Bagan JV., González‐Moles MÁ., Kerr AR, et al. – Oral potentially malignant disorders: A consensus report from an international seminar on nomenclature and classification, convened by the WHO Collaborating Centre for Oral Cancer.
Oral Dis 2021;27:1862–80.
https://doi.org/10.1111/odi.13704



0 commentaire(s)