Mise en pratique : empreinte optique et occlusion dynamique
Publié le 25 Juin 2019Voici quelques exemples de modélisation automatique de couronne en utilisant le Patient Specific Motion :
CAS N°1 : COURONNE PROVISOIRE 37
Une empreinte pour une couronne provisoire sur 37 est réalisée avec le système 3Shape TRIOS 3 et envoyée vers le laboratoire. La couronne d’usage sera une couronne métallique support de crochet pour un appareil amovible à châssis métallique. Elle sera conçue en reprenant le design de la provisoire avec adjonction d’un logement de taquet pour la future prothèse amovible.

Essayage de la couronne provisoire

Vue 2 couronnes produites avec le Patient Specific Motion
CAS N°2 : BRIDGE 35-37
Un patient se présente au cabinet pour remplacer sa 36. Il présente une couronne sur 35 et une carie sur 37. Après discussion et avoir envisagé toutes les options thérapeutiques, le patient souhaite s’orienter vers une solution de bridge conventionnel en zircone monolithique. La lésion carieuse sur la 37 et la couronne sur 35 sont déposées dans un premier temps, puis la préparation pour le bridge est réalisée ainsi que l’empreinte.

Les dents préparées
L’empreinte optique correspondante
Puis vient l’enregistrement de l’occlusion : dans un premier temps l’enregistrement est statique, puis, nous activons l’option d’enregistrement des mouvements et demandons au patient de réaliser des mouvements fonctionnels de mastication.

Enregistrement de l’occlusion statique

Icone du Patient Specific Motion

Enregistrement dynamique

Relevé de la couleur et limites prothétiques
Les fichiers sont ensuite envoyés au laboratoire de prothèse (Digital Labs, La Roche-sur-Yon) par le portail sécurisé 3Shape Communicate. Les données sont cryptées et respectent l’anonymat du patient.

Synthèse pour envoi via la plateforme sécurisée 3Shape Communicate
La restauration est ensuite modélisée sur le logiciel de laboratoire 3Shape Dental System : les paramètres d’occlusion dynamique Patient Specific Motion permettent une modélisation automatique de l’occlusion de la restauration.

Modélisation de la restauration sur le logiciel 3Shape Dental System
Le bridge est ensuite usiné, infiltré et cuit, puis les finitions sont réalisées.

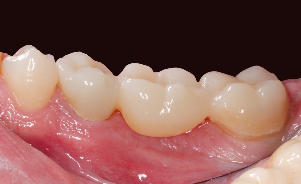
Le bridge finalisé
La restauration est ensuite essayée puis scellée en bouche.

Bridge vue immédiate après scellement
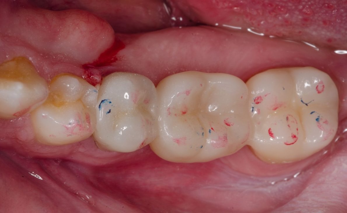
L’occlusion est alors contrôlée en statique et en dynamique.

Contrôle de l’occlusion
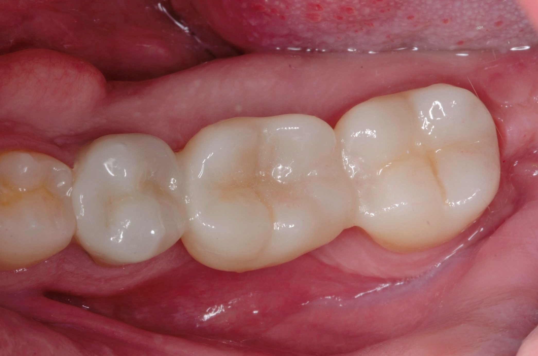
Le patient est revu 1 mois après en visite de contrôle. Interrogé sur son ressenti en occlusion statique et fonctionnelle, il se dit satisfait de la restauration qu’il « oublie complètement dans sa cavité buccale ».
Une nouvelle empreinte de contrôle est réalisée incluant le Patient Specific Motion.

Enregistrement dynamique bridge en place

Mise en évidence des contacts

Contrôle à 1 mois, vue occlusale
Contrôle à 1 mois, vue vestibulaire
Le TRIOS Patient Specific Motion est un nouvel outil simple et innovant améliorant la qualité des restaurations issues de procédés de fabrication assistée par ordinateur. Il permet un enregistrement plus complet des informations d’occlusion au cabinet dentaire et une automatisation des procédés de modélisation au sein du laboratoire de prothèse.
![]()
Cet article vous est proposé par 3Shape.



0 commentaire(s)