Les résines composites en dentisterie esthétique
Publié le 14 Juin 2022Les résines composites modernes présentent des qualités physico-chimiques et cliniques qui nous permettent d’envisager des restaurations esthétiques, peu voire pas du tout invasives, de haut niveau et pérennes. En effet, ces résines modernes, si elles sont utilisées à bon escient et selon un protocole précis et scientifiquement fondé, vont permettre de réhabiliter, parfois d’une façon surprenante, les sourires de nos patients.
Contrairement au crédo en vogue dans les cabinets français, les Résines Composites (RC) sont des matériaux qui assurent des restaurations de longue durée : coefficient d’usure identique ou très proche de l’émail naturel, souplesse d’utilisation, avec une stratification qui reproduit au plus près la composition des tissus dentaires.
Les RC dentine procurent cette flexibilité que l’on peut comparer à celle de la dentine naturelle et les RC émail ont, en plus de leurs propriétés lumineuses, un état de surface et une résistance comparables à l’émail naturel. Ces considérations nous amènent à utiliser les résines composites dans beaucoup de cas de réhabilitations esthétiques dans le secteur antérieur.
Les quelques exemples qui suivent vont illustrer cette tendance, en y ajoutant quelques tours de main destinés à faciliter ces types de restaurations.
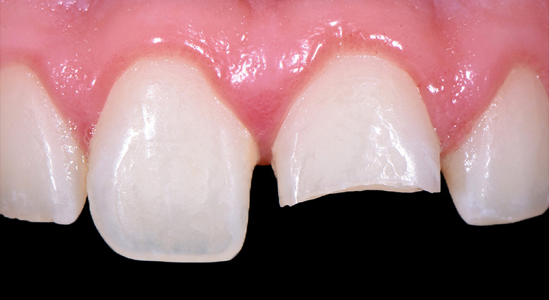
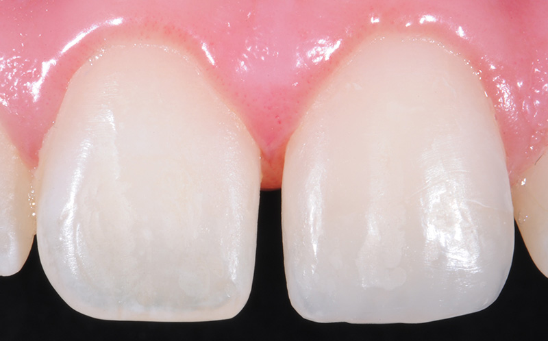
Premier cas clinique

Fig. 01 : restauration d’une 21 après un traumatisme ayant entraîné la perte de la moitié incisive.

Fig. 02 : une observation attentive de la 11 nous permet de relever les caractéristiques chromatiques qui nous serviront à reconstruire la 21 à l’identique de la 11.

Fig. 03 : la confection de la partie palatine, à partir d’un guide silicone répliquant le wax réalisé au laboratoire, permet l’édification d’une boîte qui va apporter une grande précision dans la mise en place des différentes couches de stratification.

Fig. 04 : l’emploi de flows « dentine » chargés permet de reproduire les mamelons dentinaires et les lignes de transition de façon très aisée.

Fig. 05 : le résultat obtenu après la mise en place de la couche d’émail vestibulaire.
Deuxième cas clinique

Fig. 06 : l’étude esthétique a donné les proportions et la forme à reproduire par adjonction de résine composite, pour recréer une latérale qui soit complètement intégrée dans le sourire.

Fig. 07 : un guide silicone a été fabriqué à partir du wax-up esthétique et fonctionnel, produit au laboratoire, pour permettre cette reproduction.

Fig. 08 : une fois la face palatine recréée, il est aisé, en introduisant des matrices entre les faces proximales, de créer la forme de contour désirée de la latérale.

Fig. 09 : l’application d’une clé transparente issue du projet esthétique permet, par injection à travers cette clé, d’une masse émail finale et va assurer la reproduction à l’identique du wax-up.

Fig. 10 : résultat final. On peut juger de la stabilité de cette restauration quelques années plus tard.
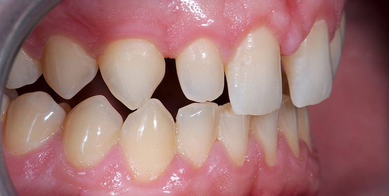
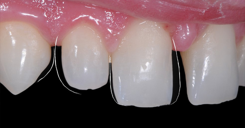
Troisième cas clinique

Fig. 11 : recréer une symétrie en toute simplicité. Il s’agit ici de redonner au sourire droit une harmonie en supprimant les zones noires avec des dents proportionnées.

Fig. 12 : l’étude numérique, en rétablissant la position du PSM, va permettre de prévisualiser les formes des dents pour rétablir la symétrie.

Fig. 13 : des fentes sont créées dans la gouttière silicone, tirée du wax-up après l’étude esthétique. Les matrices seront insérées pour individualiser les points de contact.

Fig. 14 : une fois la boîte palatine recréée, grâce à l’index silicone de référence, il est aisé en introduisant les matrices celluloïdes d’aller injecter les composites flow dans les espaces proximaux.

Fig. 15 : on peut juger du résultat et apprécier l’harmonie recréée avec ces ajouts de résines composite obéissant à la loi de la symétrie et des proportions.
À travers ces trois exemples succincts, on peut juger qu’avec un protocole parfaitement établi et suivi, il est possible de recréer des dents traumatisées, asymétriques ou riziformes d’une façon précise et harmonieuse. Ces restaurations sont en bouche depuis plusieurs années et suivies régulièrement au sein du cabinet.
Cet article vous a été proposé par l‘Académie du sourire.



0 commentaire(s)