Bienvenue sur Dentalespace !

Notre site internet est susceptible d'afficher des informations sur des médicament ou des dispositifs médicaux au travers de liens publicitaires entre professionnels de santé.

En continuant votre navigation sur le site, vous certifiez être un professionnel de santé bucco-dentaire.

Êtes-vous professionnel de santé ?

Tous les cas cliniques

Naviguer par :

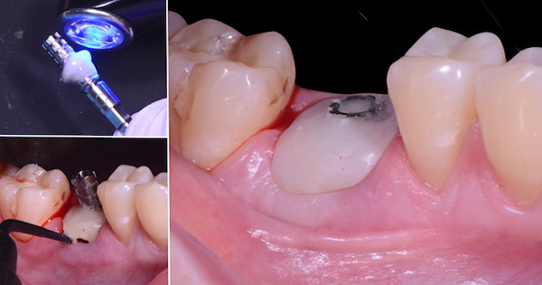
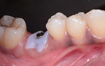
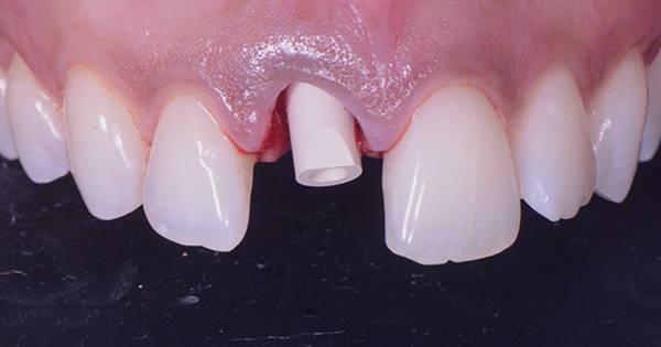
3 cas cliniques / FINELLE Gary

Inscription à la newsletter

Le meilleur de l’actualité du dentaire dans votre boîte mail une fois par semaine !

« * » indique les champs nécessaires

Depuis notre création en 1998, Dentalespace.com a la vocation de vous apporter le meilleur de notre profession : de la formation continue, des conseils, un agenda d’événements, des conférences en ligne, des informations sur vos produits et matériels, des petites annonces, etc. Inscrivez-vous à notre newsletter pour ne rien manquer du meilleur du dentaire !